Promotional price valid on web orders only. Your contract pricing may differ. Interested in signing up for a dedicated account number?
Learn More

Invitrogen™ HLA-DMB Polyclonal Antibody
GREENER_CHOICE

Catalog No. PIPA579368
Change view
Click to view available options
Quantity:
100 μg
1 product options available for selection
Product selection table with 1 available options. Use arrow keys to navigate and Enter or Space to select.
Catalog No. Quantity
PIPA579368 100 μg
Use arrow keys to navigate between rows. Press Enter or Space to select a product option. 1 options available.
1 options
Catalog No. PIPA579368 Supplier Invitrogen™ Supplier No. PA579368
Only null left
Add to Cart
Add to Cart

Rabbit Polyclonal Antibody

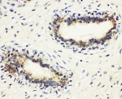
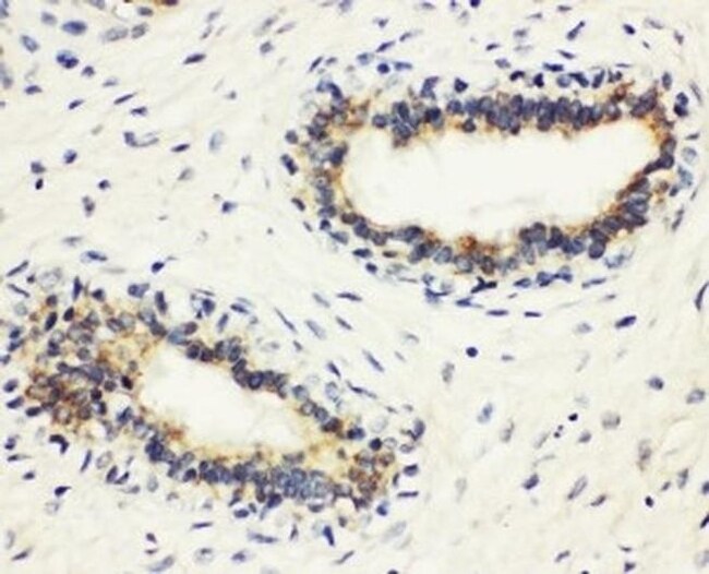
Reconstitute with 0.2 mL of distilled water to yield a concentration of 500 μg/mL. Positive Control - WB: JURKAT whole cell, JURKAT whole cell, RAJI whole cell, HUT whole cell. IHC: Human Mammary Cancer Tissue.

HLA-DMB (major histocompatibility complex, class II, DM beta), also known as D6S221E, RING7, HLA-DM histocompatibility type, beta chain, HLADMB or RING7, is a protein that in humans is encoded by the HLA-DMB gene. The HLA-DMB gene is mapped on 6p21.32. HLA-DMB belongs to the HLA class II beta chain paralogues. This class II molecule is a heterodimer consisting of an alpha (DMA) and a beta (DMB) chain, both anchored in the membrane. It is located in intracellular vesicles. DM plays a central role in the peptide loading of MHC class II molecules by helping to release the CLIP (class II-associated invariant chain peptide) molecule from the peptide binding site. Class II molecules are expressed in antigen presenting cells. The beta chain is approximately 26-28 kDa and its gene contains 6 exons. HLA-DMA and -DMB appear to encode subunits of a functional heterodimer that is critical in the pathway of class II antigen presentation. HLA and MHC antibodies play a significant role in Immunopeptidomics, facilitating the identification and characterization of neoantigens through high-performance liquid chromatography coupled to tandem Mass Spectrometry.
TRUSTED_SUSTAINABILITY

Specifications

Antigen HLA-DMB
Applications Immunohistochemistry (Paraffin), Western Blot
Classification Polyclonal
Concentration 500 μg/mL
Conjugate Unconjugated
Formulation PBS with 5mg BSA and 0.05mg sodium azide, 0.05mg thimerosal
Gene HLA-DMB
Gene Accession No. P28068
Gene Alias class II histocompatibility antigen, M beta chain; D6S221E; DAAP-27A1.4; DMB; HLA class II histocompatibility antigen, DM beta chain; HLA-DMB; major histocompatibility complex, class II, DM beta; MHC class II antigen DMB; MHC class II antigen HLA-DM beta chain; MHC class II HLA-DMB; really interesting new gene 7 protein; RING7
Gene Symbols HLA-DMB
Host Species Rabbit
Immunogen A synthetic peptide corresponding to a sequence in the middle region of human HLA DMB (81-100aa NQKDTLMQRLRNGLQNCATH).
Purification Method Antigen affinity chromatography
Quantity 100 μg
Regulatory Status RUO
Primary or Secondary Primary
Gene ID (Entrez) 3109
Target Species Human
Content And Storage -20°C
Product Type Antibody
Form Lyophilized
Isotype IgG
Show More Show Less
Product Title
Select an issue

By clicking Submit, you acknowledge that you may be contacted by Fisher Scientific in regards to the feedback you have provided in this form. We will not share your information for any other purposes. All contact information provided shall also be maintained in accordance with our Privacy Policy.