Learn More
Invitrogen™ HLA-DPB1 Recombinant Rabbit Monoclonal Antibody (JA10-94)

Rabbit Recombinant Monoclonal Antibody
Supplier: Invitrogen™ MA532660
Description
Recombinant rabbit monoclonal antibodies are produced using in vitro expression systems. The expression systems are developed by cloning in the specific antibody DNA sequences from immunoreactive rabbits. Then, individual clones are screened to select the best candidates for production. The advantages of using recombinant rabbit monoclonal antibodies include: better specificity and sensitivity, lot-to-lot consistency, animal origin-free formulations, and broader immunoreactivity to diverse targets due to larger rabbit immune repertoire.
HLA-DPB belongs to the HLA class II beta chain paralogues. This class II molecule is a heterodimer consisting of an alpha (DPA) and a beta chain (DPB), both anchored in the membrane. It plays a central role in the immune system by presenting peptides derived from extracellular proteins. Class II molecules are expressed in antigen presenting cells (APC: B lymphocytes, dendritic cells, macrophages). The beta chain is approximately 26-28 kDa and its gene contains 6 exons. Exon one encodes the leader peptide, exons 2 and 3 encode the two extracellular domains, exon 4 encodes the transmembrane domain and exon 5 encodes the cytoplasmic tail. Within the DP molecule both the alpha chain and the beta chain contain the polymorphisms specifying the peptide binding specificities, resulting in up to 4 different molecules. HLA and MHC antibodies play a significant role in Immunopeptidomics, facilitating the identification and characterization of neoantigens through high-performance liquid chromatography coupled to tandem Mass Spectrometry.
Specifications
HLA-DPB1 | |
Recombinant Monoclonal | |
1 mg/mL | |
TBS with 0.05% BSA, 40% Glycerol and 0.05% sodium azide; pH 7.4 | |
P04440 | |
HLA-DPB1 | |
Synthetic peptide within Human HLA-DPB1 aa 11-60. | |
100 μL | |
Primary | |
Human | |
Antibody | |
IgG |
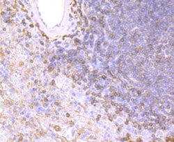
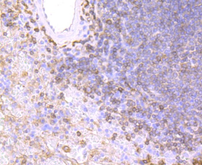
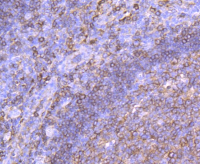
Immunohistochemistry (Paraffin), Immunoprecipitation, Western Blot, Immunocytochemistry, Western Blot | |
JA10-94 | |
Unconjugated | |
HLA-DPB1 | |
beta1 domain MHC class II HLA DPB; CD; CELIAC1; class II HLA beta chain; DC-1 alpha chain; DC-alpha; DPB1; DQ-A1; GSE; histocompatibility antigen HLA-DR alpha; HLA class II histocompatibility antigen, DP beta 1 chain; HLA class II histocompatibility antigen, DP(W4) beta chain; HLA class II histocompatibility antigen, DQ alpha 1 chain; HLA class II histocompatibility antigen, DQ(W3) alpha chain; HLA class II histocompatibility antigen, DR alpha chain; HLA DP14-beta chain; HLA-DCA; HLA-DP; HLA-DP histocompatibility type, beta-1 subunit; HLA-DP1B; HLA-DPB; HLA-DPB1; HLA-DQA; HLA-DQA1; HLA-DRA; HLA-DRA1; leucocyte antigen DQA1; leukocyte antigen alpha chain; major histocompatibility complex class II antigen beta chain; major histocompatibility complex, class II, DP beta 1; major histocompatibility complex, class II, DQ alpha 1; major histocompatibility complex, class II, DR alpha; MHC cell surface glycoprotein; MHC cla; MHC class II antigen; MHC class II antigen beta chain; MHC class II antigen DP beta 1 chain; MHC class II antigen DPB1; MHC class II antigen DPbeta1; MHC class II antigen DRA; MHC class II DQA1; MHC class II HLA-D alpha glycoprotein; MHC class II HLA-DP-beta-1; MHC class II HLA-DQ-alpha-1; MHC class II HLA-DRB1; MHC class II surface glycoprotein; MHC HLA DPB1; MHC HLA-DQ alpha; MLRW | |
Rabbit | |
Protein A | |
RUO | |
3115 | |
Store at 4°C short term. For long term storage, store at -20°C, avoiding freeze/thaw cycles. | |
Liquid |
Your input is important to us. Please complete this form to provide feedback related to the content on this product.