Promotional price valid on web orders only. Your contract pricing may differ. Interested in signing up for a dedicated account number?
Learn More
Learn More
Invitrogen™ HLX Polyclonal Antibody

Rabbit Polyclonal Antibody
Supplier: Invitrogen™ PA5106499
Description
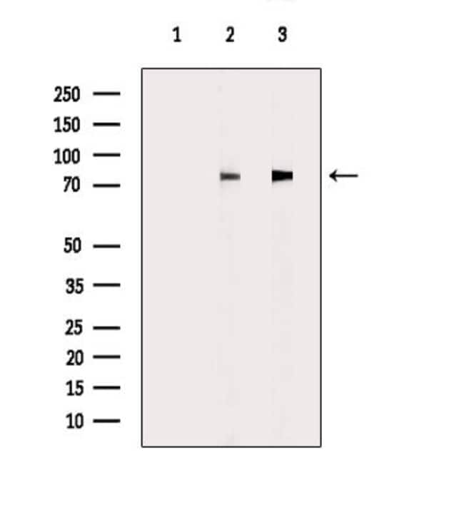
Antibody detects endogenous levels of total HLX1.
HLX is a transcription factor required for TBX21/T-bet-dependent maturation of Th1 cells as well as maintenance of Th1-specific gene expression. Involved in embryogenesis and hematopoiesis.
Specifications
| HLX | |
| Polyclonal | |
| Unconjugated | |
| HLX | |
| dbx1a; developing brain homeobox 1a; developing brain homeobox protein 1-A; fc15c04; H2.0 homeobox 1; H2.0 like homeobox; H2.0-like homeo box 1; H2.0-like homeo box-1; H2.0-like homeobox; H2.0-like homeobox 1; H2.0-like homeobox protein; HB24; Hlx; hlx1; hlx-1; homeobox protein; homeobox protein DBX1-A; Homeobox protein HB24; homeobox protein HLX1; LOW QUALITY PROTEIN: H2.0-like homeobox protein; wu:fc15c04; zgc:109861 | |
| Rabbit | |
| Affinity chromatography | |
| RUO | |
| 15284, 3142, 364069 | |
| -20°C | |
| Liquid |
| Western Blot, Immunocytochemistry | |
| 1 mg/mL | |
| PBS with 50% glycerol and 0.02% sodium azide; pH 7.4 | |
| A0JPN1, Q14774, Q61670 | |
| HLX | |
| A synthesized peptide derived from human HLX(Accession Q14774), corresponding to amino acid residues A318-S368. | |
| 100 μL | |
| Primary | |
| Human, Mouse, Rat | |
| Antibody | |
| IgG |
Safety and Handling
WARNING: Cancer - www.P65Warnings.ca.gov
Product Content Correction
Your input is important to us. Please complete this form to provide feedback related to the content on this product.
Product Title
Spot an opportunity for improvement?Share a Content Correction