Promotional price valid on web orders only. Your contract pricing may differ. Interested in signing up for a dedicated account number?
Learn More
Learn More
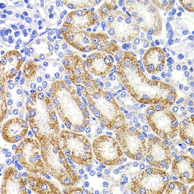
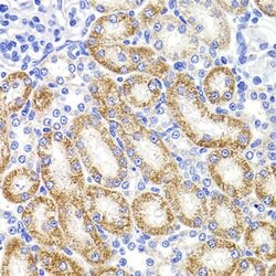
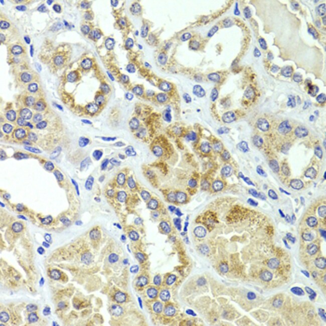
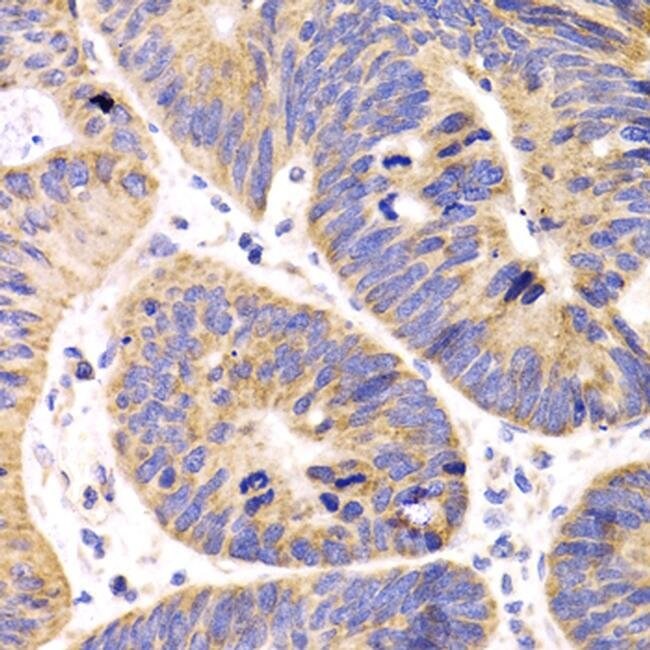
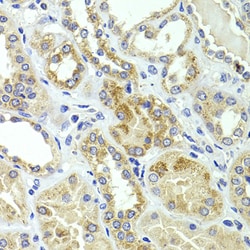
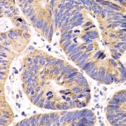
Invitrogen™ HMGCL Polyclonal Antibody

Rabbit Polyclonal Antibody
Supplier: Invitrogen™ PA587048
Description
Purity is > 95% by SDS-PAGE.
The protein encoded by this gene belongs to the HMG-CoA lyase family. It is a mitochondrial enzyme that catalyzes the final step of leucine degradation and plays a key role in ketone body formation. Mutations in this gene are associated with HMG-CoA lyase deficiency. Alternatively spliced transcript variants encoding different isoforms have been found for this gene.
Specifications
HMGCL | |
Polyclonal | |
Unconjugated | |
HMGCL | |
3-hydroxy-3-methylglutarate-CoA lyase; 3-hydroxy-3-methylglutaryl-CoA lyase; 3-hydroxy-3-methylglutaryl-Coenzyme A lyase; 3-hydroxymethyl-3-methylglutaryl-CoA lyase; 3-hydroxymethyl-3-methylglutaryl-Coenzyme A lyase; AW476067; HL; Hmgcl; HMG-CoA lyase; hydroxymethylglutaricaciduria; hydroxymethylglutaryl-CoA lyase, mitochondrial; mitochondrial 3-hydroxy-3-methylglutaryl-CoA lyase | |
Rabbit | |
Antigen affinity chromatography | |
RUO | |
15356, 3155, 79238 | |
Store at 4°C short term. For long term storage, store at -20°C, avoiding freeze/thaw cycles. | |
Liquid |
Immunohistochemistry (Paraffin), Western Blot | |
1 mg/mL | |
PBS with 50% glycerol and 0.02% sodium azide; pH 7.2 | |
P35914, P38060, P97519 | |
HMGCL | |
Recombinant fusion protein of human HMGCL. | |
100 μL | |
Primary | |
Human, Mouse, Rat | |
Antibody | |
IgG |
Product Content Correction
Your input is important to us. Please complete this form to provide feedback related to the content on this product.
Product Title
Spot an opportunity for improvement?Share a Content Correction