Promotional price valid on web orders only. Your contract pricing may differ. Interested in signing up for a dedicated account number?
Learn More
Learn More
Invitrogen™ HN1 Polyclonal Antibody

Rabbit Polyclonal Antibody
Supplier: Invitrogen™ PA5109824
Description
Immunogen sequence: MTTTTTFKGV DPNSRNSSRV LRPPGGGSNF SLGFDEPTEQ PVRKNKMASN IFGTPEENQA SWAKSAGAKS SGGREDLESS GLQRRNSSEA SSGDFLDLKG EGDIHENVDT DLPGSLGQSE EKPVPAAPVP SPVAPAPVPS RRNPPGGKSS LVLG.
HN1 (hematopoietic- and neurologic-expressed sequence 1) is a highly conserved protein that is expressed in developing and regenerating tissues. Overexpression of HN1 has been reported in various tumors like glioma and breast cancer. Hn1 has also been reported as a marker for human ovarian carcinoma and can distinguish epithelial ovarian carcinoma cells from normal ovarian surface epithelial cells. This collective information suggests that HN1 is involved in processes associated with cell proliferation, repair and/or growth.
Specifications
| HN1 | |
| Polyclonal | |
| Unconjugated | |
| JPT1 | |
| Androgen-regulated protein 2; ARM2; hematological and neurological expressed 1; hematological and neurological expressed 1 protein; hematological and neurological expressed sequence 1; HN1; HN1A; Jpt1; Jupiter microtubule associated homolog 1; Jupiter microtubule associated homolog 1, N-terminally processed | |
| Rabbit | |
| Affinity Chromatography | |
| RUO | |
| 15374, 287828, 51155 | |
| -20°C, Avoid Freeze/Thaw Cycles | |
| Liquid |
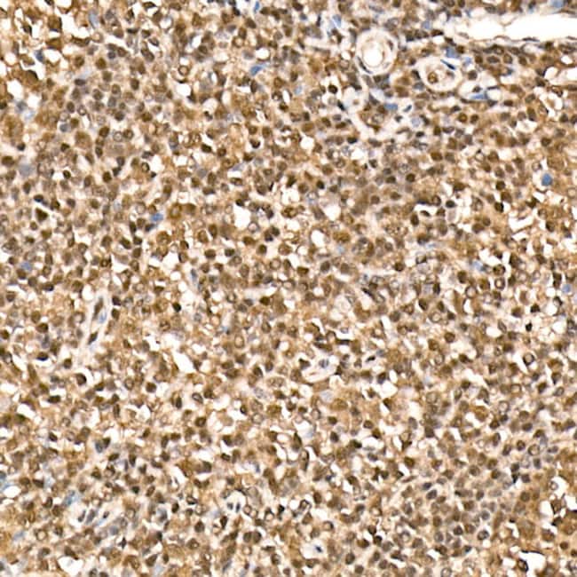
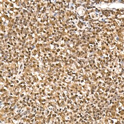
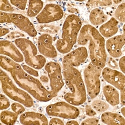
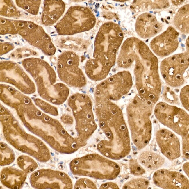
| ELISA, Immunohistochemistry (Paraffin), Western Blot | |
| 1.41 mg/mL | |
| PBS with 50% glycerol and 0.01% thimerosal; pH 7.3 | |
| P97825, Q6AXU6, Q9UK76 | |
| JPT1 | |
| Recombinant fusion protein containing a sequence corresponding to amino acids 1-154 of human HN1 (NP_057269.1). | |
| 100 μL | |
| Primary | |
| Human, Mouse, Rat | |
| Antibody | |
| IgG |
Product Content Correction
Your input is important to us. Please complete this form to provide feedback related to the content on this product.
Product Title
Spot an opportunity for improvement?Share a Content Correction