Promotional price valid on web orders only. Your contract pricing may differ. Interested in signing up for a dedicated account number?
Learn More
Learn More
Invitrogen™ hnRNP A2B1 Polyclonal Antibody
Rabbit Polyclonal Antibody
Supplier: Invitrogen™ PA5119190
This item is not returnable.
View return policy
Description
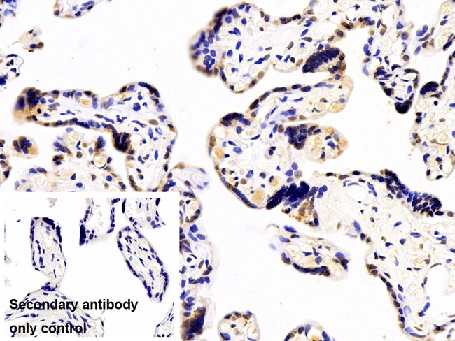
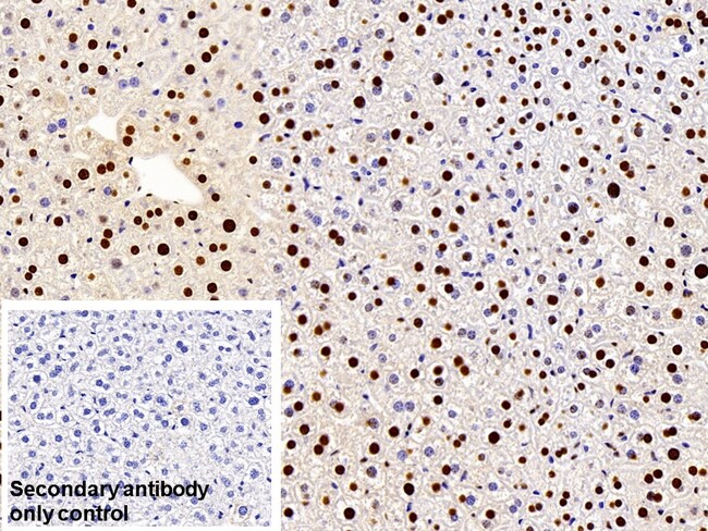
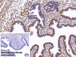
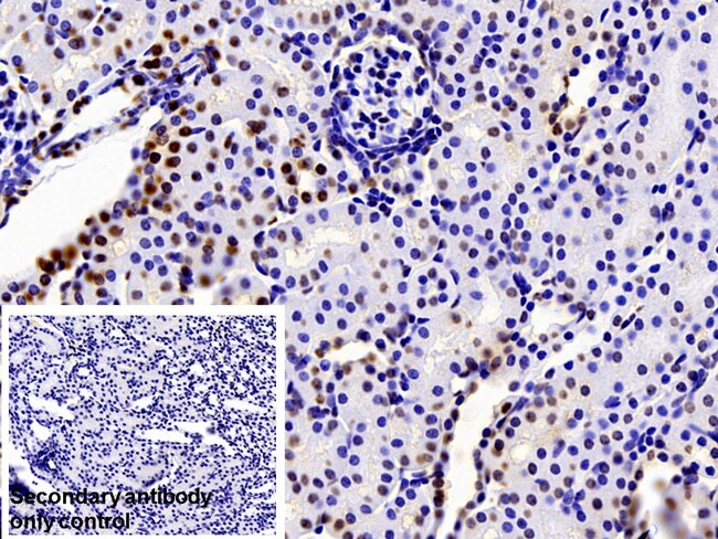
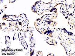
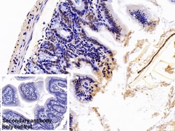
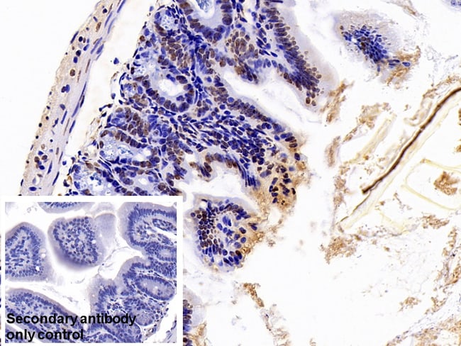
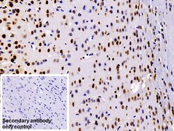
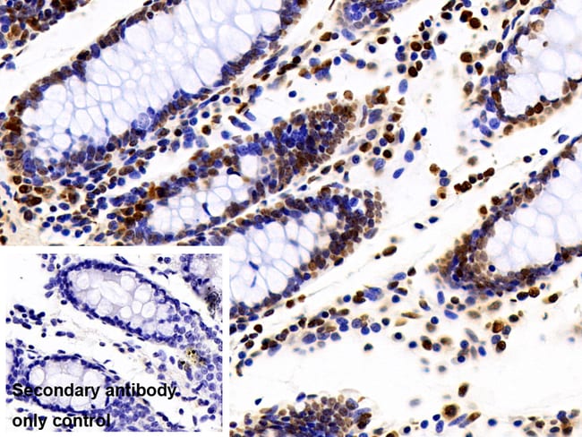
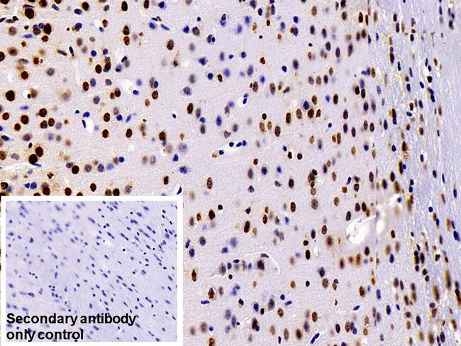
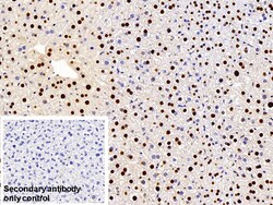
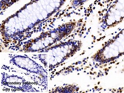
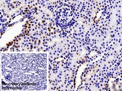
hnRNP A2B1 Polyclonal Antibody for Western Blot, ICC/IF, IHC (P)
This gene belongs to the A/B subfamily of ubiquitously expressed heterogeneous nuclear ribonucleoproteins (hnRNPs). The hnRNPs are RNA binding proteins and they complex with heterogeneous nuclear RNA (hnRNA). These proteins are associated with pre-mRNAs in the nucleus and appear to influence pre-mRNA processing and other aspects of mRNA metabolism and transport. While all of the hnRNPs are present in the nucleus, some seem to shuttle between the nucleus and the cytoplasm. The hnRNP proteins have distinct nucleic acid binding properties. The protein encoded by this gene has two repeats of quasi-RRM domains that bind to RNAs. This gene has been described to generate two alternatively spliced transcript variants which encode different isoforms. [provided by RefSeq, Jul 2008].
Specifications
hnRNP A2B1 | |
Polyclonal | |
Unconjugated | |
HNRNPA2B1 | |
9130414A06Rik; DKFZp779B0244; EMBL:BAF79676.1}; FLJ22720; heterogeneous nuclear ribonucleoprotein A2; heterogeneous nuclear ribonucleoprotein A2/B1; heterogeneous nuclear ribonucleoprotein B0a; heterogeneous nuclear ribonucleoprotein B0b; heterogeneous nuclear ribonucleoprotein B1; heterogeneous nuclear ribonucleoproteins A2/B1; heterogeneous nuclear ribonucleoproteins A2/B1 {ECO:0000312; heterogenous nuclear ribonucleoprotein A2/B1; Hnrnp; hnRNP A2 / hnRNP B1; hnRNP A2/B1; hnrnp-A; HNRNPA2; HNRNPA2B1; hnrnpa2b1 {ECO:0000250; HNRNPB1; HNRPA2; HNRPA2B1; HNRPB1; hypothetical protein; IBMPFD2; nuclear ribonucleoprotein particle A2 protein; OTTHUMP00000202465; OTTHUMP00000202466; RNPA2; SNRPB1; UniProtKB:P22626} | |
Rabbit | |
Antigen affinity chromatography, Protein A | |
RUO | |
3181 | |
Store at 4°C short term. For long term storage, store at -20°C, avoiding freeze/thaw cycles. | |
Liquid |
Immunohistochemistry (Paraffin), Western Blot, Immunocytochemistry | |
0.5 mg/mL | |
PBS with 50% glycerol and 0.05% ProClin 300; pH 7.4 | |
P22626 | |
HNRNPA2B1 | |
Recombinant protein Heterogeneous Nuclear Ribonucleoprotein A2/B1. The antigen corresponds to amino acid range 21-103 of the target protein. | |
200 μL | |
Primary | |
Human | |
Antibody | |
IgG |
Safety and Handling
WARNING: Cancer - www.P65Warnings.ca.gov
Product Content Correction
Your input is important to us. Please complete this form to provide feedback related to the content on this product.
Product Title
Spot an opportunity for improvement?Share a Content Correction