Promotional price valid on web orders only. Your contract pricing may differ. Interested in signing up for a dedicated account number?
Learn More
Learn More
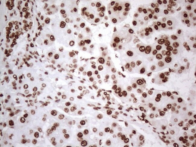
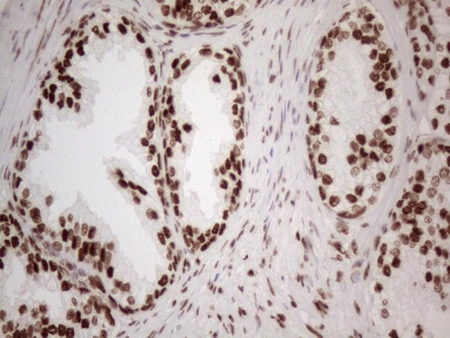
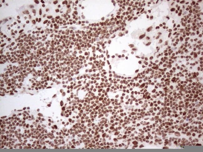
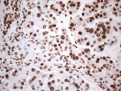
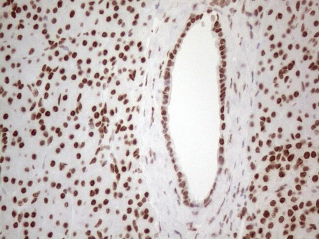
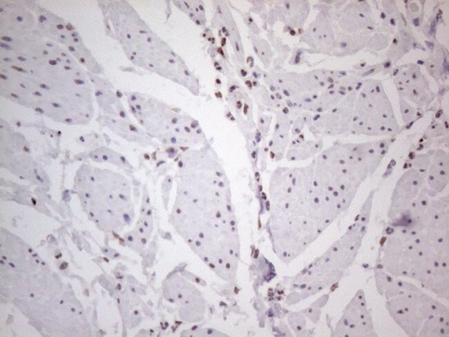
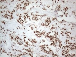
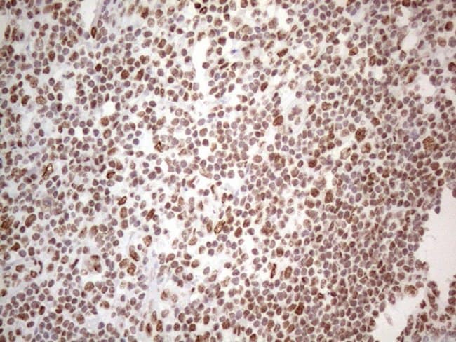
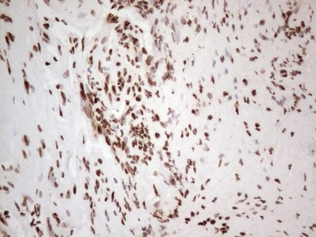
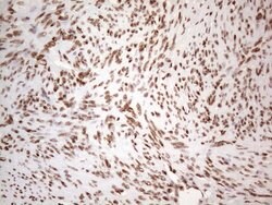
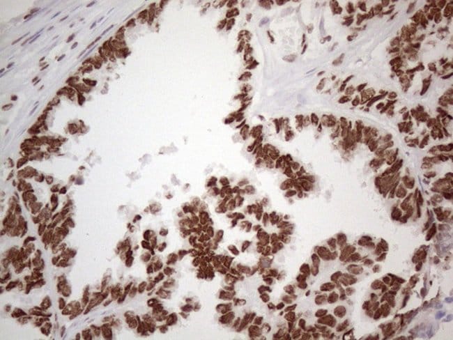
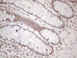
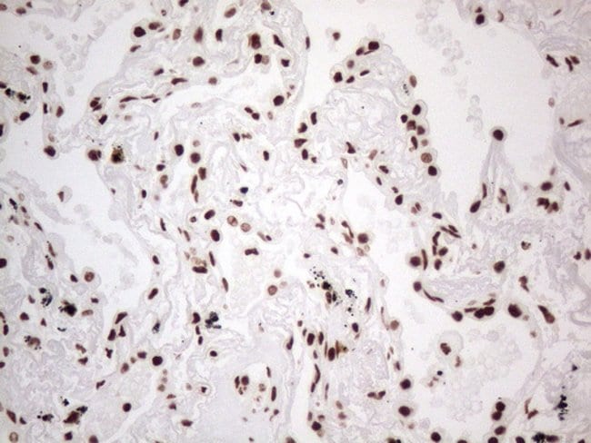
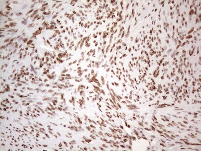
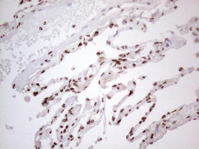
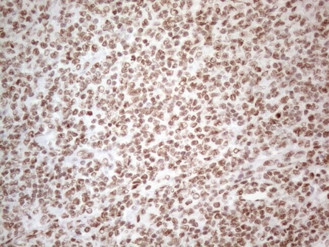
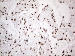
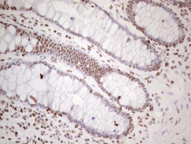
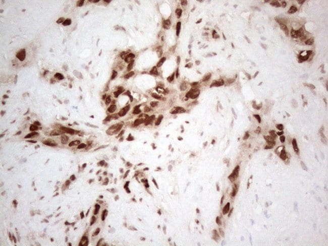
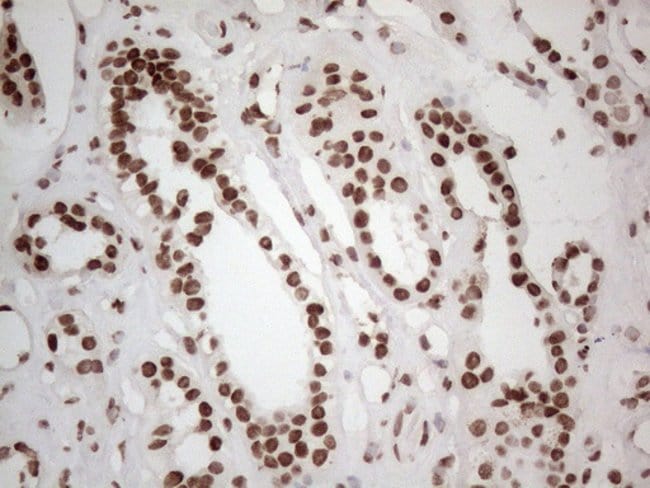
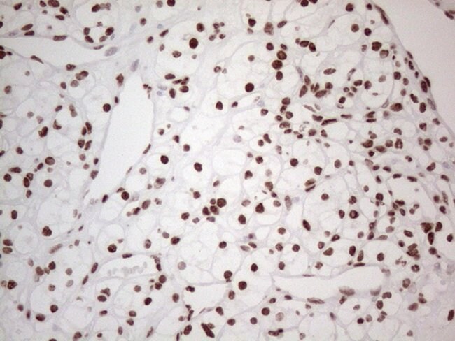
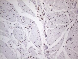
HNRNPL Monoclonal Antibody (OTI4E5), TrueMAB™, OriGene

Mouse Monoclonal Antibody
Supplier: OriGene TA805576

Description
Heterogeneous nuclear RNAs which include mRNA precursors and mature mRNAs are associated with specific proteins to form heterogenous ribonucleoprotein complexes. Heterogeneous nuclear ribonucleoprotein L is among the proteins that are stably associated with hnRNP complexes and along with other hnRNP proteins is likely to play a major role in the formation, packaging, processing, and function of mRNA. Heterogeneous nuclear ribonucleoprotein L is present in the nucleoplasm as part of the HNRP complex. HNRP proteins have also been identified outside of the nucleoplasm. Exchange of hnRNP for mRNA-binding proteins accompanies transport of mRNA from the nucleus to the cytoplasm. Since HNRP proteins have been shown to shuttle between the nucleus and the cytoplasm, it is possible that they also have cytoplasmic functions. Two transcript variants encoding different isoforms have been found for this gene.Specifications
HNRNPL | |
Monoclonal | |
1 mg/mL | |
PBS with 1% BSA, 50% glycerol and 0.02% sodium azide | |
P14866 | |
HNRNPL | |
Human recombit protein fragment corresponding to amino acids 270-502 of human HNRNPL produced in E.coli. | |
100 μL | |
Primary | |
Human | |
Antibody | |
IgG1 |
Immunohistochemistry (Paraffin) | |
OTI4E5 | |
Unconjugated | |
HNRNPL | |
HNRPL, P/OKcl.14, hnRNP-L | |
Mouse | |
Affinity Chromatography | |
RUO | |
3191 | |
-20° C, Avoid Freeze/Thaw Cycles | |
Liquid |
Product Content Correction
The Fisher Scientific Encompass Program offers items which are not part of our distribution portfolio. These products typically do not have pictures or detailed descriptions. However, we are committed to improving your shopping experience. Please use the form below to provide feedback related to the content on this product.
Product Title
Spot an opportunity for improvement?Share a Content Correction