Promotional price valid on web orders only. Your contract pricing may differ. Interested in signing up for a dedicated account number?
Learn More
Learn More
Invitrogen™ HPD Polyclonal Antibody

Rabbit Polyclonal Antibody
Supplier: Invitrogen™ PA5119747
This item is not returnable.
View return policy
Description
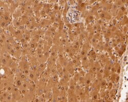
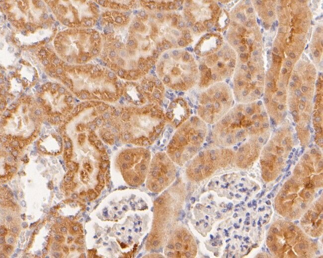
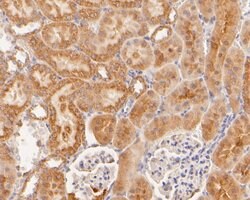
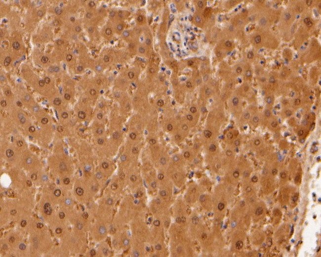
Positive Control: Rat liver tissue lysate, human kidney tissue lysate, rat kidney tissue, human liver tissue, mouse liver tissue. Subcellular Location: Cytosol, endoplasmic reticulum membrane, extracellular exosome, golgi membrane.
The inhibitor of apoptosis (IAP) family of proteins regulates programmed cell death triggered by various stimuli. All IAPs have at least one baculovirus IAP repeat (BIR) motif that is essential for their anti-apoptotic activity (1-3). Recently, a serine protease has been isolated, which is released from the mitochondria upon induction of apoptosis by apoptotic stimuli. This protein called Omi/HtrA2 is a mitochondrial protein that binds to IAP (4). Like Smac/DIABLO, the mature Omi protein contains a conserved IAP-binding motif (AVPS) at its N terminus. The deregulated expression of Omi in the cytoplasm of mammalian cells induces apoptosis indicating that Omi could participate in the mitochondrial apoptotic pathway.
Specifications
HPD | |
Polyclonal | |
Unconjugated | |
Hpd | |
4H GLOD3; 4-H HPPDASE; 4HPPD; 4-HPPD; 4-hydroxyphenylpyruvate dioxygenase; 4-hydroxyphenylpyruvic acid dioxygenase; 4-hydroxyphenylpyruvic acid oxidase; f Alloantigen; F liver antigen; f protein; Fla; Flp; GLOD3; glyoxalase domain containing 3; HPD; Hppd; HPPDASE; Laf; PPD | |
Rabbit | |
Antigen affinity chromatography | |
RUO | |
15445, 29531, 3242 | |
Store at 4°C short term. For long term storage, store at -20°C, avoiding freeze/thaw cycles. | |
Liquid |
Immunohistochemistry (Paraffin), Western Blot | |
1 mg/mL | |
TBS with 0.2% BSA, 50% glycerol and 0.05% sodium azide; pH 7.4 | |
P32754, P32755, P49429 | |
Hpd | |
Recombinant protein within human HPD aa 1-200. | |
100 μL | |
Primary | |
Human, Mouse, Rat | |
Antibody | |
IgG |
Safety and Handling
WARNING: Cancer - www.P65Warnings.ca.gov
Product Content Correction
Your input is important to us. Please complete this form to provide feedback related to the content on this product.
Product Title
Spot an opportunity for improvement?Share a Content Correction