Promotional price valid on web orders only. Your contract pricing may differ. Interested in signing up for a dedicated account number?
Learn More
Learn More
Invitrogen™ HRASLS2 Polyclonal Antibody

Goat Polyclonal Antibody
Supplier: Invitrogen™ PA5142380
This item is not returnable.
View return policy
Description
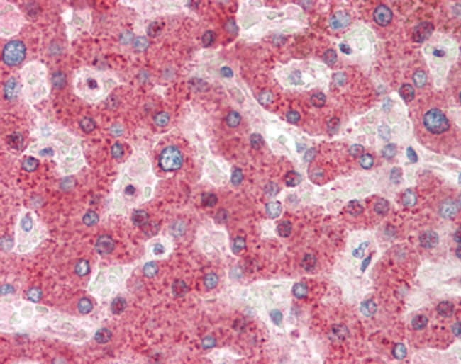
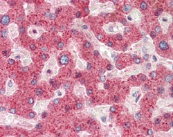
This antibody is tested in Peptide ELISA: antibody detection limit dilution 1:16,000.
HRASLS2 (HRAS-like suppressor 2), also known as PLA1/2-2, is a 162 amino acid Cytoplasmic protein that belongs to the H-rev107 family. Expressed in liver, kidney, small intestine and colon, HRASLS2 exhibits PLA1/2 activity by catalyzing the calcium-independent hydrolysis of acyl groups in various phosphotidylcholines (PCs) and phosphatidylethanolamine (PE).
Specifications
| HRASLS2 | |
| Polyclonal | |
| Unconjugated | |
| HRASLS2 | |
| HRAS like suppressor 2; HRAS-like suppressor 2; HRASLS2; Phospholipase A and acyltransferase 2; PLA1/2-2; PLAAT2 | |
| Goat | |
| Ammonium sulfate precipitation | |
| RUO | |
| 54979 | |
| -20°C, Avoid Freeze/Thaw Cycles | |
| Liquid |
| Immunohistochemistry (Paraffin), Western Blot | |
| 0.5 mg/mL | |
| TBS with 0.5% BSA and 0.02% sodium azide; pH 7.3 | |
| Q9NWW9 | |
| HRASLS2 | |
| Peptide with sequence QELPYSLTSDNC. | |
| 100 μg | |
| Primary | |
| Human | |
| Antibody | |
| IgG |
Product Content Correction
Your input is important to us. Please complete this form to provide feedback related to the content on this product.
Product Title
Spot an opportunity for improvement?Share a Content Correction