Promotional price valid on web orders only. Your contract pricing may differ. Interested in signing up for a dedicated account number?
Learn More
Learn More
Invitrogen™ HRG Polyclonal Antibody

Rabbit Polyclonal Antibody
Supplier: Invitrogen™ PA597841
Description
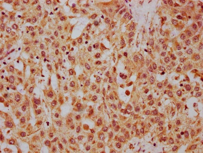
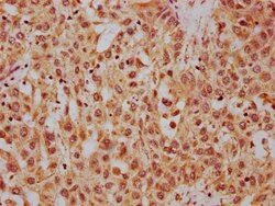
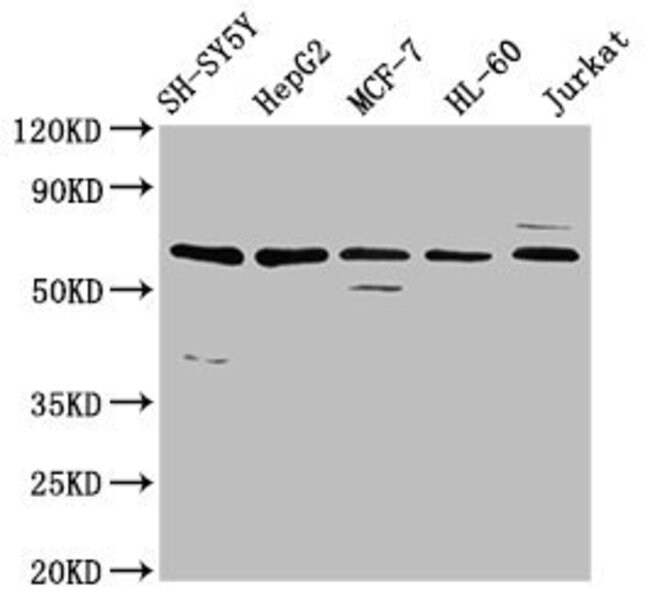
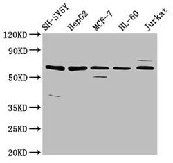
HRG Polyclonal Antibody for Western Blot, IHC (P), ELISA
HRG contains two cystatin-like domains and is located in plasma and platelets. The physiological function has not been determined but it is known that the protein binds heme, dyes and divalent metal ions. It can inhibit rosette formation and interacts with heparin, thrombospondin and plasminogen. Two of the protein's effects, the inhibition of fibrinolysis and the reduction of inhibition of coagulation, indicate a potential prothrombotic effect. Mutations in this gene lead to thrombophilia due to abnormal histidine-rich glycoprotein levels.
Specifications
HRG | |
Polyclonal | |
Unconjugated | |
HRG | |
AI265597; AW413091; D16jh2; D18020; DKFZp779H1622; histidine rich glycoprotein; histidine-proline-rich glycoprotein; Histidine-rich glycoprotein; histidine-rich glycoprotein 1; HPRG; HRG; HRG1; Hrgp; THPH11 | |
Rabbit | |
Protein G | |
RUO | |
3273 | |
-20°C or -80°C if preferred | |
Liquid |
ELISA, Immunohistochemistry (Paraffin), Western Blot | |
1 mg/mL | |
PBS with 50% glycerol and 0.03% ProClin 300; pH 7.4 | |
P04196 | |
HRG | |
Recombinant Human Histidine-rich glycoprotein protein (412-511AA). | |
100 μg | |
Primary | |
Human | |
Antibody | |
IgG |
Product Content Correction
Your input is important to us. Please complete this form to provide feedback related to the content on this product.
Product Title
Spot an opportunity for improvement?Share a Content Correction