Promotional price valid on web orders only. Your contract pricing may differ. Interested in signing up for a dedicated account number?
Learn More

Invitrogen™ HRG Polyclonal Antibody

Rabbit Polyclonal Antibody

Supplier:  Invitrogen™ PA5149899

Encompass_Preferred

Catalog No. PA5149899


Only null left
Add to Cart

Description

Description

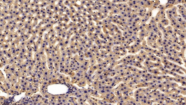
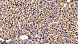
HRG Polyclonal Antibody for Western Blot, ICC/IF, IHC (P)

HRG contains two cystatin-like domains and is located in plasma and platelets. The physiological function has not been determined but it is known that the protein binds heme, dyes and divalent metal ions. It can inhibit rosette formation and interacts with heparin, thrombospondin and plasminogen. Two of the protein's effects, the inhibition of fibrinolysis and the reduction of inhibition of coagulation, indicate a potential prothrombotic effect. Mutations in this gene lead to thrombophilia due to abnormal histidine-rich glycoprotein levels.
TRUSTED_SUSTAINABILITY
Specifications

Specifications

HRG
Polyclonal
Unconjugated
HRG
AI265597; AW413091; D16jh2; D18020; DKFZp779H1622; histidine rich glycoprotein; histidine-proline-rich glycoprotein; Histidine-rich glycoprotein; histidine-rich glycoprotein 1; HPRG; HRG; HRG1; Hrgp; THPH11
Rabbit
Protein A
RUO
100152095, 171016, 3273
Store at 4°C short term. For long term storage, store at -20°C, avoiding freeze/thaw cycles.
Liquid
Immunohistochemistry (Paraffin), Western Blot, Immunocytochemistry
0.5 mg/mL
PBS with 50% glycerol and 0.05% ProClin 300; pH 7.4
P04196, Q99PS8
HRG
Recombinant Histidine Rich Glycoprotein (HRG) (Ala18-Gly254).
200 μL
Primary
Human, Rat, Pig
Antibody
Product Suggestions

Product Suggestions

Videos
SDS
Documents

Documents

Product Certifications
Promotions

Promotions

Product Content Correction

The Fisher Scientific Encompass Program offers items which are not part of our distribution portfolio. These products typically do not have pictures or detailed descriptions. However, we are committed to improving your shopping experience. Please use the form below to provide feedback related to the content on this product.

Product Title

By clicking Submit, you acknowledge that you may be contacted by Fisher Scientific in regards to the feedback you have provided in this form. We will not share your information for any other purposes. All contact information provided shall also be maintained in accordance with our Privacy Policy.

Your feedback has been submitted: Thank you for helping us improve our website.