Promotional price valid on web orders only. Your contract pricing may differ. Interested in signing up for a dedicated account number?
Learn More
Learn More
Invitrogen™ HRH3 Polyclonal Antibody

Rabbit Polyclonal Antibody
Supplier: Invitrogen™ PA599111
Description
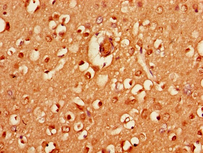
HRH3 Polyclonal Antibody for Western Blot, ICC/IF, IHC (P), ELISA
H3 Histamine Receptor regulates the release of the neurotransmitters norepinephrine and somatostatin. In histamine-containing neurons of the brain, the H3 receptor acts as a presynaptic autoreceptor, while in nonhistamine-containing neurons, in both the central and peripheral nervous systems, it acts as a presynaptic heteroreceptor. Multiple isoforms of H3 receptors are produced by alternative splicing. Histamine H3 receptor has been reported primarily in brain. ESTs have been isolated from brain (normal and cancer), breast cancer, colon cancer, and retinoblastoma libraries.
Specifications
HRH3 | |
Polyclonal | |
Unconjugated | |
HRH3 | |
AW049250; G protein-coupled receptor; G protein-coupled receptor 97; GPCR97; G-protein coupled receptor 97; H3R; HH3R; histamine H3 receptor; histamine H3 receptor H3L isoform; histamine H3 receptor H3S isoform; histamine receptor; histamine receptor H 3; histamine receptor H3; Hrh3 | |
Rabbit | |
Protein G | |
RUO | |
11255 | |
-20°C or -80°C if preferred | |
Liquid |
ELISA, Immunohistochemistry (Paraffin), Western Blot, Immunocytochemistry | |
5 mg/mL | |
PBS with 50% glycerol and 0.03% ProClin 300; pH 7.4 | |
Q9Y5N1 | |
HRH3 | |
Recombinant Human Histamine H3 receptor protein (236-332AA). | |
100 μg | |
Primary | |
Human | |
Antibody | |
IgG |
Product Content Correction
Your input is important to us. Please complete this form to provide feedback related to the content on this product.
Product Title
Spot an opportunity for improvement?Share a Content Correction