Learn More
Invitrogen™ HSP27 Monoclonal Antibody (5D12-A12), FITC

Mouse Monoclonal Antibody
Supplier: Invitrogen™ MA545206
Description
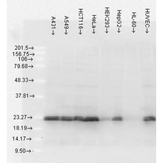
0.5 μg/mL of MA5-45206 was sufficient for detection of HSP27 in 10 μg of HeLa lysate by colorimetric immunoblot analysis using Goat anti-mouse IgG:HRP as the secondary antibody. Detects approximately 27kDa. Has no cross-reactivity to Alpha B crystallin. Very limited cross-reactivity to other species.
In response to adverse changes in their environment, cells from many organisms increase the expression of a class of proteins referred to as heat shock or stress proteins. HSPB1 (heat shock protein beta-1 or HSP27) is a small heat shock protein which functions as a molecular chaperone that maintains denatured proteins in a folding-competent state. It plays a role in stress resistance and actin organization. Through its molecular chaperone activity, HSP27 regulates numerous biological processes including the phosphorylation and the axonal transport of neurofilament proteins. Mutations in the gene can result in Charcot-Marie-Tooth disease 2F and Neuronopathy distal hereditary motor 2B.
Specifications
HSP27 | |
Monoclonal | |
1 mg/mL | |
PBS, 9.1mM sodium bicarbonate with 640.91mM DMSO, 136.36mM ethanolamine and no preservative; pH 7.2 | |
P04792 | |
HSPB1 | |
Full length human HSP27. | |
200 μg | |
Primary | |
Human | |
Antibody | |
IgG2b κ |
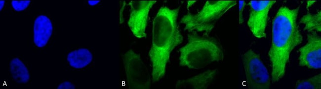
ELISA, Immunohistochemistry, Immunoprecipitation, Western Blot, Immunocytochemistry | |
5D12-A12 | |
FITC | |
HSPB1 | |
27kDa; 28 kDa heat shock protein; CMT2F; DKFZp586P1322; epididymis secretory protein Li 102; estrogen-regulated 24 kDa protein; Growth-related 25 kDa protein; heat shock 25 kDa protein; Heat shock 27 kDa protein; heat shock 27kD protein 1; heat shock 27kDa protein 1; Heat shock protein; heat shock protein 1; heat shock protein 27 kDa beta-1; heat shock protein B1; heat shock protein beta-1; heat shock protein family B (small) member 1; heat shock protein, 25 kDa; heat-shock protein; HEL-S-102; HMN2B; HS; HS.76067; HSP; HSP 25; HSP 27; Hsp25; HSP27; HSP28; HSPB1; p25; Phospho-HSP 27; SRP27; Stress-responsive protein 27; truncated hsp25 | |
Mouse | |
Protein G | |
RUO | |
3315 | |
4°C, store in dark | |
Liquid |
Your input is important to us. Please complete this form to provide feedback related to the content on this product.