Promotional price valid on web orders only. Your contract pricing may differ. Interested in signing up for a dedicated account number?
Learn More
Learn More
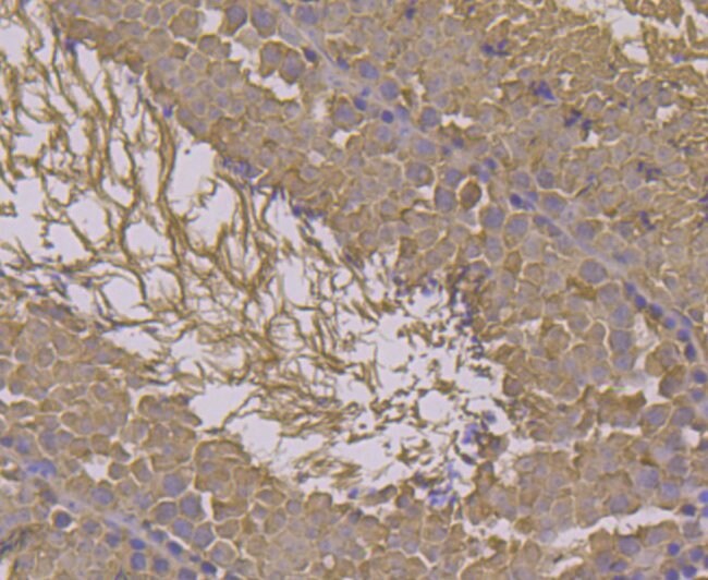
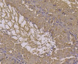
Thermo Scientific™ HSP701L Monoclonal Antibody (7D1)

Supplier: Thermo Scientific™ MA534911
Description

Specifications
HSP701L | |
Monoclonal | |
1 mg/mL | |
PBS with 0.2% BSA, 50% glycerol and 0.05% sodium azide; pH 7.4 | |
P34931 | |
Hspa1l | |
Recombinant protein with Human HSPA1L aa 335-639. | |
100 μL | |
Primary | |
Human | |
Antibody | |
IgG1 |
Immunohistochemistry (Paraffin), Western Blot | |
7D1 | |
Unconjugated | |
Hspa1l | |
heat shock 10kDa protein 1-like; heat shock 70 kDa protein 1-Hom; heat shock 70 kDa protein 1L; Heat shock 70 kDa protein 1-like; Heat shock 70 kDa protein 3; heat shock 70 kDa-like protein 1; heat shock 70kD protein-like 1; heat shock 70kDa protein 1-like; Heat shock protein; heat shock protein 1-like; Heat shock protein 70-1l; heat shock protein cognate 70, testis; heat shock protein family A (Hsp70) member 1 like; heat shock-related protein hsc70t; Hsc70t; HSP70.3; HSP70-1L; Hsp70-3; HSP70-HOM; HSP70T; Hspa1l; hum70t; inducible heat shock protein 70; Msh5; Spermatid-specific heat shock protein 70 | |
Mouse | |
Affinity Chromatography | |
RUO | |
3305 | |
-20°C, Avoid Freeze/Thaw Cycles, store in dark | |
Liquid |
Product Content Correction
Your input is important to us. Please complete this form to provide feedback related to the content on this product.
Product Title
Spot an opportunity for improvement?Share a Content Correction