Promotional price valid on web orders only. Your contract pricing may differ. Interested in signing up for a dedicated account number?
Learn More
Learn More
Invitrogen™ HSP701L Polyclonal Antibody

Rabbit Polyclonal Antibody
Supplier: Invitrogen™ PA5106899
Description
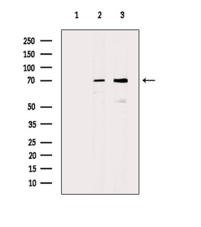
Antibody detects endogenous levels of total HSPA1L.
In response to adverse changes in their environment, cells from many organisms increase the expression of a class of proteins referred to as heat shock proteins. One class of stress proteins, termed the small heat shock proteins is comprised of a diverse group of proteins from approximately15 to >30 kDa, with a single form found in yeast and human cells and multiple related forms found in higher plants. A direct relationship between elevated strwess protein expression and neoplasia has been suggested from studies on estrogen-induced proteins in breast cancer cells. In addition, Hsp27 exhibits rapid increased phosphorylation in response to various mitogens, tumor promoter (e. g. phorbol esters) and calcium ionophores. The expression of a 24 kDa protein was shown to correlate with steroid hormone receptor in cell lines, organs, and tumors. The 24 kDa estrogen-induced protein was found to be expressed at high levels in carcinoma of the breast. Another study has suggested that levels of the Hsp27 correlate with endometrial adenocarcinomas. Interestingly, the regulation of human Hsp27 by estrogens and heat shock is reminiscent of the ecdysteroid and heat shock activation of the drosophila Hsp20 genes.
Specifications
| HSP701L | |
| Polyclonal | |
| Unconjugated | |
| Hspa1l | |
| heat shock 10kDa protein 1-like; heat shock 70 kDa protein 1-Hom; heat shock 70 kDa protein 1L; Heat shock 70 kDa protein 1-like; Heat shock 70 kDa protein 3; heat shock 70 kDa-like protein 1; heat shock 70kD protein-like 1; heat shock 70kDa protein 1-like; Heat shock protein; heat shock protein 1-like; Heat shock protein 70-1l; heat shock protein cognate 70, testis; heat shock protein family A (Hsp70) member 1 like; heat shock-related protein hsc70t; Hsc70t; HSP70.3; HSP70-1L; Hsp70-3; HSP70-HOM; HSP70T; Hspa1l; hum70t; inducible heat shock protein 70; Msh5; Spermatid-specific heat shock protein 70 | |
| Rabbit | |
| Affinity Chromatography | |
| RUO | |
| 15482, 24963, 3305 | |
| -20°C | |
| Liquid |
| Immunohistochemistry (Paraffin), Western Blot, Immunocytochemistry | |
| 1 mg/mL | |
| PBS with 50% glycerol and 0.02% sodium azide; pH 7.4 | |
| P16627, P34931, P55063 | |
| Hspa1l | |
| A synthesized peptide derived from human HSPA1L(Accession P34931), corresponding to amino acid residues D227-S277. | |
| 100 μL | |
| Primary | |
| Human, Mouse, Rat | |
| Antibody | |
| IgG |
Product Content Correction
Your input is important to us. Please complete this form to provide feedback related to the content on this product.
Product Title
Spot an opportunity for improvement?Share a Content Correction