Promotional price valid on web orders only. Your contract pricing may differ. Interested in signing up for a dedicated account number?
                
Learn More
Learn More
                                    Invitrogen™ HSPA9 Monoclonal Antibody (30A5)
                                    
                                    
                                    
                                    
                                
                            
                            
                            
                            
Mouse Monoclonal Antibody
Supplier: Invitrogen™ MA191639
Description
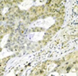
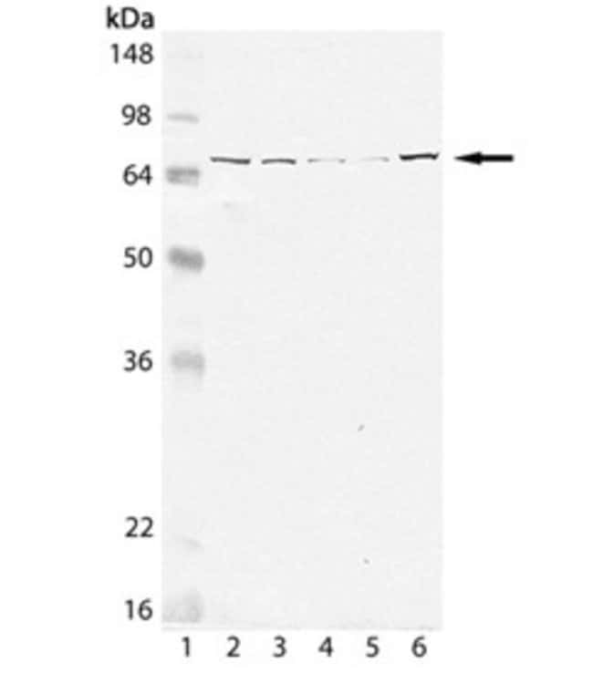
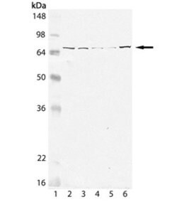
Western blot detects a band ~75 kDa. A suggested positive control is HeLa cell lysate (heat shocked).
The HSP70 family is composed of four highly conserved proteins: HSP70, HSC70, GRP75 and GRP78. These proteins serve a variety of roles. GRP75 expression is restricted to the mitochondrial matrix and aids in the translocation and folding of nascent polypeptide chains of both nuclear and mitochondrial origin. GRP75 and GRP78 are unresponsive to heat stress and are induced by glucose deprivation.
            Specifications
| HSPA9 | |
| Monoclonal | |
| 1 mg/mL | |
| PBS with 50% glycerol, 0.1mM PMSF and no preservative; pH 7.2 | |
| O35501, P38646, P38647, P48721, P99502, Q3ZCH0 | |
| HSPA9, hspa9.S | |
| Grp75 isolated from human Molt4 cells. | |
| 25 μL | |
| Primary | |
| Human, Mouse, Rat, Canine, Rabbit, Monkey, Bovine, Sheep, Hamster, Pig, Guinea Pig, Guinea Pig | |
| Antibody | |
| IgG1 | 
| Immunohistochemistry, Immunoprecipitation, Western Blot, Immunocytochemistry | |
| 30A5 | |
| Unconjugated | |
| HSPA9 | |
| 70 kDa heat shock protein; 74kDa; 75 kDa glucose-regulated protein; C3H-specific antigen; catecholamine-regulated protein 40; CRP40; CSA; epididymis secretory sperm binding protein Li 124m; EVPLS; GRP 75; GRP75; GRP-75; heat shock 70 kDa protein 9; heat shock 70 kDa protein 9B; heat shock 70kD protein 9B; heat shock 70kDa protein 9 (mortalin); heat shock 70kDa protein 9A; heat shock 70kDa protein 9B (mortalin-2); Heat shock protein; heat shock protein 9; heat shock protein 9A; heat shock protein cognate 74; heat shock protein family A (Hsp70) member 9; heat shock protein family A (Hsp70) member 9 S homeolog; heat shock protein, 74 kDa, A; heat shock protein, A; HEL-S-124m; Hsc74; HSP; Hsp74; Hsp74a; hspa9; hspa9.S; Hspa9a; hspa9-a; hspa9b; hspa9-b; hypothetical protein; I79_009139; MGC4500; mortalin; mortalin, perinuclear; mortalin2; mortalin-2; mot; MOT2; Mot-2; Mthsp70; mt-HSP70; MTHSP75; p66 MOT; p66-mortalin; pbp74; Peptide-binding protein 74; RCJMB04_2m8; SAAN; SIDBA4; stress-70 protein mitochondrial-like protein; stress-70 protein, mitochondrial; Stress-70 protein, mitochondrial-like protein; XELAEV_18020021mg | |
| Mouse | |
| Ammonium sulfate precipitation | |
| RUO | |
| 100347135, 100521183, 100689405, 100719079, 101112054, 15526, 291671, 3313, 379314, 474697, 517535 | |
| Store at 4°C short term. For long term storage, store at -20°C, avoiding freeze/thaw cycles. | |
| Liquid | 
Safety and Handling
                                                    
                                                    WARNING: Cancer - www.P65Warnings.ca.gov 
                                                
                                            
                                        
                                    
                                
                    Product Content Correction
                
                Your input is important to us. Please complete this form to provide feedback related to the content on this product.
Product Title
			
            Spot an opportunity for improvement?Share a Content Correction