Learn More
Invitrogen™ HSPA9 Polyclonal Antibody

Rabbit Polyclonal Antibody
Supplier: Invitrogen™ PA5120003
Description
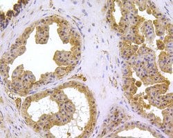
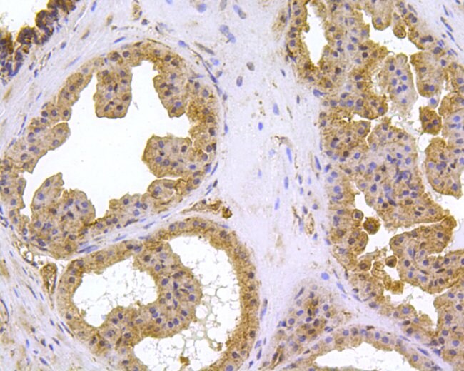
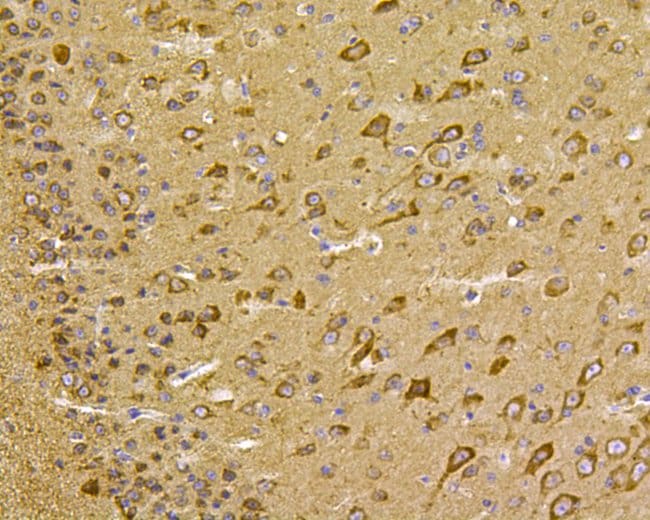
Positive Control: MCF-7 cell lysate, Hela cell lysate, NIH/3T3 cell lysate, mouse kidney tissue lysate, mouse brain tissue lysate, PC-12 cell lysate, HepG2, MCF-7, N2A, SH-SY5Y, mouse brain tissue, mouse prostate tissue. Subcellular Location: Mitochondrion, nucleolus.
The HSP70 family is composed of four highly conserved proteins: HSP70, HSC70, GRP75 and GRP78. These proteins serve a variety of roles. GRP75 expression is restricted to the mitochondrial matrix and aids in the translocation and folding of nascent polypeptide chains of both nuclear and mitochondrial origin. GRP75 and GRP78 are unresponsive to heat stress and are induced by glucose deprivation.
Specifications
| HSPA9 | |
| Polyclonal | |
| Unconjugated | |
| HSPA9 | |
| 70 kDa heat shock protein; 74kDa; 75 kDa glucose-regulated protein; C3H-specific antigen; catecholamine-regulated protein 40; CRP40; CSA; epididymis secretory sperm binding protein Li 124m; EVPLS; GRP 75; GRP75; GRP-75; heat shock 70 kDa protein 9; heat shock 70 kDa protein 9B; heat shock 70kD protein 9B; heat shock 70kDa protein 9 (mortalin); heat shock 70kDa protein 9A; heat shock 70kDa protein 9B (mortalin-2); Heat shock protein; heat shock protein 9; heat shock protein 9A; heat shock protein cognate 74; heat shock protein family A (Hsp70) member 9; heat shock protein family A (Hsp70) member 9 S homeolog; heat shock protein, 74 kDa, A; heat shock protein, A; HEL-S-124m; Hsc74; HSP; Hsp74; Hsp74a; hspa9; hspa9.S; Hspa9a; hspa9-a; hspa9b; hspa9-b; hypothetical protein; I79_009139; MGC4500; mortalin; mortalin, perinuclear; mortalin2; mortalin-2; mot; MOT2; Mot-2; Mthsp70; mt-HSP70; MTHSP75; p66 MOT; p66-mortalin; pbp74; Peptide-binding protein 74; RCJMB04_2m8; SAAN; SIDBA4; stress-70 protein mitochondrial-like protein; stress-70 protein, mitochondrial; Stress-70 protein, mitochondrial-like protein; XELAEV_18020021mg | |
| Rabbit | |
| Antigen Affinity Chromatography | |
| RUO | |
| 15526, 291671, 3313 | |
| Store at 4°C short term. For long term storage, store at -20°C, avoiding freeze/thaw cycles. | |
| Liquid |
| Flow Cytometry, Immunohistochemistry (Paraffin), Western Blot, Immunocytochemistry | |
| 1 mg/mL | |
| PBS with 0.2% BSA, 40% glycerol and 0.05% sodium azide; pH 7.4 | |
| P38646, P38647, P48721 | |
| HSPA9 | |
| Synthetic peptide within human Grp75 aa 114-157. | |
| 100 μL | |
| Primary | |
| Human, Mouse, Rat | |
| Antibody | |
| IgG |
Safety and Handling
Your input is important to us. Please complete this form to provide feedback related to the content on this product.