Promotional price valid on web orders only. Your contract pricing may differ. Interested in signing up for a dedicated account number?
Learn More
Learn More
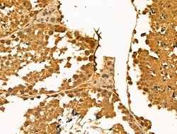
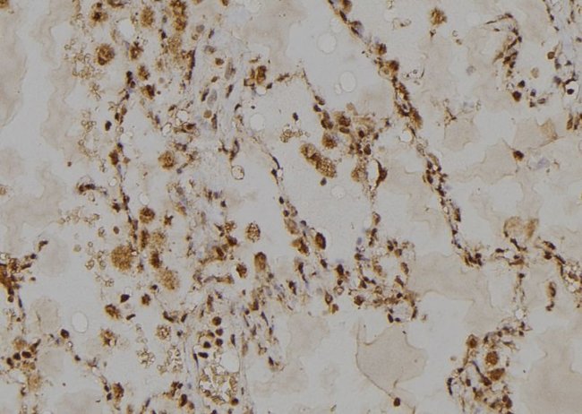
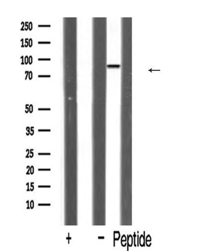
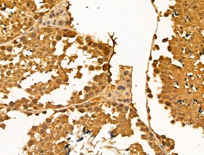
Invitrogen™ HSPH1 Polyclonal Antibody

Rabbit Polyclonal Antibody
Supplier: Invitrogen™ PA5104255
Description
Antibody detects endogenous levels of total HSP105.
HSPH1 prevents the aggregation of denatured proteins in cells under severe stress, on which the ATP levels decrease markedly. This protein inhibits HSPA8/HSC70 ATPase and chaperone activities.
Specifications
| HSPH1 | |
| Polyclonal | |
| Unconjugated | |
| HSPH1 | |
| 105kDa; 42 degrees C-HSP; AI790491; antigen NY-CO-25; heat shock 105/110 protein 1; heat shock 105kD alpha; heat shock 105kD beta; heat shock 105kDa; heat shock 105kDa/110kDa protein 1; heat shock 110 kDa protein; Heat shock protein; Heat shock protein 105 kDa; heat shock protein 110; heat shock protein family H (Hsp110) member 1; heat shock protein, 105 kDa; heat shock-related 100 kDa protein E7I; heat-shock protein 110 kDa; HSP; Hsp105; HSP105 42 C-HSP; HSP105A; HSP105B; Hsp110; hsp110/105; HSP-E7I; Hsph1; I79_002075; Kiaa0201; KIAA0202; NY CO 25; NY-CO-25; SEP2; SEPT8; septin 8; SEPTIN8; septin-8 | |
| Rabbit | |
| Affinity chromatography | |
| RUO | |
| 10808, 15505, 288444 | |
| -20°C | |
| Liquid |
| Immunohistochemistry (Paraffin), Western Blot, Immunocytochemistry | |
| 1 mg/mL | |
| PBS with 50% glycerol and 0.02% sodium azide; pH 7.4 | |
| Q61699, Q66HA8, Q92598 | |
| HSPH1 | |
| A synthesized peptide derived from human HSPH1(Accession Q92598), corresponding to amino acid residues V799-E849. | |
| 100 μL | |
| Primary | |
| Human, Mouse, Rat | |
| Antibody | |
| IgG |
Safety and Handling
WARNING: Cancer - www.P65Warnings.ca.gov
Product Content Correction
Your input is important to us. Please complete this form to provide feedback related to the content on this product.
Product Title
Spot an opportunity for improvement?Share a Content Correction