Promotional price valid on web orders only. Your contract pricing may differ. Interested in signing up for a dedicated account number?
Learn More
Learn More
Invitrogen™ HTRA1 Polyclonal Antibody

Rabbit Polyclonal Antibody
Supplier: Invitrogen™ PA511412
Description
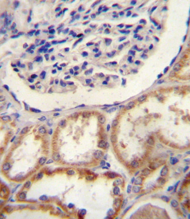
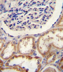
HTRA1 Polyclonal Antibody for Western Blot, ICC/IF, IHC (P)
HtrA1, a 51KDa protein, is a member of highly conserved mammalian HtrA serine protease family. It is a human homolog of bacterial HtrA and consists of a secretory signal sequence, an IGFBP-binding domain and a Kazal-type serine-protease inhibitor domain at the N-terminus and a highly conserved trypsin-like serine/protease domain and a PDZ domain at the C-terminus. It plays a major role in the regulation of cell growth. HtrA1 inhibits signaling mediated by TGF-beta family members and regulates many physiological processes. HtrA1 is up-regulated in placenta during pregnancy and plays an important role in implantation and placental physiology. It regulates the availability of IGFs by cleaving IGF-binding proteins. It acts as a tumor suppressor and is down-regulated in ovarian cancers and melanomas. Its role has been implicated in osteoarthritis suggesting a therapeutic intervention. Northern blot analysis detected high expression in placenta.
Specifications
| HTRA1 | |
| Polyclonal | |
| Unconjugated | |
| HTRA1 | |
| AI429470; ARMD7; CADASIL2; CARASIL; High-temperature requirement A serine peptidase 1; HTRA; HtrA serine peptidase 1; Htra1; IGF binding; IGFBP5-protease; insulin-like growth factor binding protein 5 protease; L56; ORF480; protease serine 11; protease, serine, 11; protease, serine, 11 (IGF binding); PRSS11; RSPP11; serine protease; serine protease 11; Serine protease HTRA1; similar to bacterial htrA and degP | |
| Rabbit | |
| Ammonium sulfate precipitation, Size-exclusion - Dialysis | |
| RUO | |
| 56213, 5654 | |
| Store at 4°C short term. For long term storage, store at -20°C, avoiding freeze/thaw cycles. | |
| Liquid |
| Immunohistochemistry (Paraffin), Western Blot, Immunocytochemistry | |
| 0.45 mg/mL | |
| PBS with 0.09% sodium azide; pH 7.4 | |
| Q92743, Q9R118 | |
| HTRA1 | |
| KLH conjugated synthetic peptide between 116-147 amino acids from the N-terminal region of human HtrA1. | |
| 200 μL | |
| Primary | |
| Human, Mouse | |
| Antibody | |
| IgG |
Safety and Handling
WARNING: Cancer - www.P65Warnings.ca.gov
Product Content Correction
Your input is important to us. Please complete this form to provide feedback related to the content on this product.
Product Title
Spot an opportunity for improvement?Share a Content Correction