Promotional price valid on web orders only. Your contract pricing may differ. Interested in signing up for a dedicated account number?
Learn More
Learn More
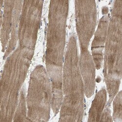
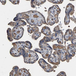
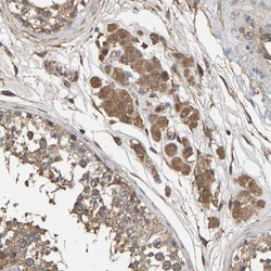
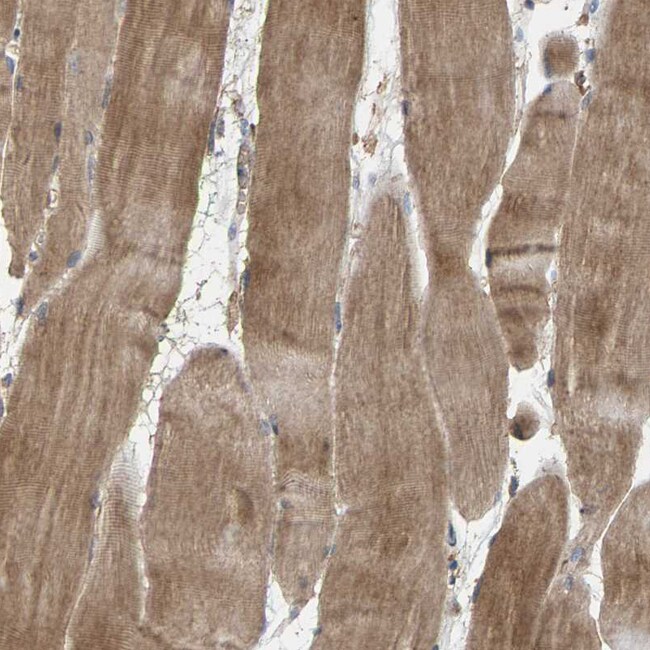
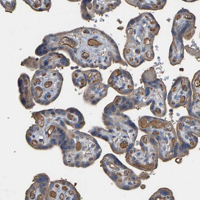
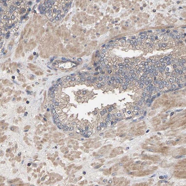
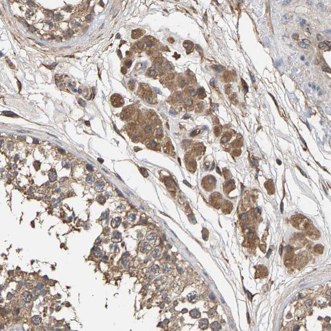
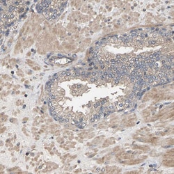
Invitrogen™ HTRA3 Polyclonal Antibody

Rabbit Polyclonal Antibody
Supplier: Invitrogen™ PA5110869
Description
Immunogen sequence: ITRFLTEFQD KQIKDWKKRF IGIRMRTITP SLVDELKASN PDFPEVSSGI YVQEVAPNSP SQRGGIQDGD IIVKVNGRPL VDSSELQEAV LTESPLLLEV RRGNDDLLFS IAP.
HtrA3 belongs to the human high-temperature requirement factor A (HtrA) family. It is also called pregnancy-related serine protease. HtrA3 has two isoforms (long and short), which is produced by alternative splicing. Similar to HtrA1, HtrA3 binds to various TGF-beta proteins and inhibited the signaling of BMP-4, -2 and TGF-beta 1. HtrA3 does not inhibit signaling originated from a constitutively active BMP receptor, indicating that the inhibition occurred upstream of the cell surface receptor.
Specifications
| HTRA3 | |
| Polyclonal | |
| PBS with 40% glycerol and 0.02% sodium azide; pH 7.2 | |
| P83110 | |
| HTRA3 | |
| Recombinant Protein corresonding to Human HTRA3. Recombinant protein control fragment (Product #RP-91877). | |
| 100 μL | |
| Primary | |
| Human | |
| Antibody | |
| IgG |
| Immunohistochemistry (Paraffin) | |
| Unconjugated | |
| HTRA3 | |
| 2210021K23Rik; 9530081K03Rik; High-temperature requirement factor A3; HtrA serine peptidase 3; Htra3; Pregnancy-related serine protease; probable serine protease HTRA3; Prsp; RGD1308120; Serine protease HTRA3; Tasp; Toll-associated serine protease | |
| Rabbit | |
| Antigen Affinity Chromatography | |
| RUO | |
| 94031 | |
| Store at 4°C short term. For long term storage, store at -20°C, avoiding freeze/thaw cycles. | |
| Liquid |
Product Content Correction
Your input is important to us. Please complete this form to provide feedback related to the content on this product.
Product Title
Spot an opportunity for improvement?Share a Content Correction