Promotional price valid on web orders only. Your contract pricing may differ. Interested in signing up for a dedicated account number?
Learn More
Learn More
Human BAFF/BLyS/TNFSF13B Antibody, R&D Systems™

Goat Polyclonal Antibody has been used in 11 publications
Supplier: R&D Systems AF124SP
This item is not returnable.
View return policy
Description
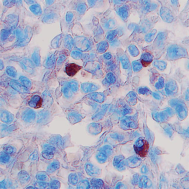
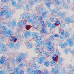
BAFF/BLyS/TNFSF13B Polyclonal specifically detects BAFF/BLyS/TNFSF13B in Human samples. It is validated for Western Blot, Immunohistochemistry, Neutralization.Specifications
BAFF/BLyS/TNFSF13B | |
Polyclonal | |
Unconjugated | |
Lyophilized from a 0.2 μm filtered solution in PBS with Trehalose. *Small pack size (SP) is supplied as a 0.2 μm filtered solution in PBS. with No Preservative | |
ApoL related ligand TALL-1, B lymphocyte stimulator, BAFFB-cell activating factor, B-cell-activating factor, BLyS, BLYSB-lymphocyte stimulator, CD257, CD257 antigen, Dendritic cell-derived TNF-like molecule, DTL, TALL1, TALL-1delta BAFF, TALL1Delta4 BAFF, THANK, TNF and ApoL-related leukocyte expressed ligand 1, TNF- and APOL-related leukocyte expressed ligand 1, TNF homolog that activates apoptosis, TNFSF13B, TNFSF20, tumor necrosis factor (ligand) superfamily, member 13b, tumor necrosis factor (ligand) superfamily, member 20, tumor necrosis factor ligand superfamily member 13B, tumor necrosis factor superfamily, member 13b, tumor necrosis factor-like protein ZTNF4, ZTNF4 | |
Goat | |
Affinity Purified | |
RUO | |
10673 | |
Reconstitute at 0.2 mg/mL in sterile PBS. | |
Use a manual defrost freezer and avoid repeated freeze-thaw cycles. 12 months from date of receipt, -20 to -70 degreesC as supplied. 1 month, 2 to 8 degreesC under sterile conditions after reconstitution. 6 months, -20 to -70 degreesC under sterile conditions after reconstitution. |
Western Blot, Immunohistochemistry, Neutralization | |
LYOPH | |
Western Blot 0.1 ug/mL, Immunohistochemistry 5-15 ug/mL, Neutralization 3-12 ng/mL | |
Q9Y275 | |
TNFSF13B | |
Mouse myeloma cell line NS0-derived recombinant human BAFF/BLyS/TNFSF13B Ala134-Leu285 Accession # Q9Y275 | |
25 μg | |
Primary | |
Detects human BAFF/BLyS/TNFSF13B in direct ELISAs and Western blots. In direct ELISAs, less than 15% cross-reactivity with recombinant murine BAFF and less than 1% cross-reactivity with recombinant human (rh) APRIL is observed. | |
Human | |
IgG |
Product Content Correction
Your input is important to us. Please complete this form to provide feedback related to the content on this product.
Product Title
For Research Use Only
Spot an opportunity for improvement?Share a Content Correction