Promotional price valid on web orders only. Your contract pricing may differ. Interested in signing up for a dedicated account number?
Learn More
Learn More
Human BIK Antibody, R&D Systems™

Sheep Polyclonal Antibody
Supplier: R&D Systems AF5474SP
This item is not returnable.
View return policy
Description
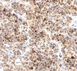
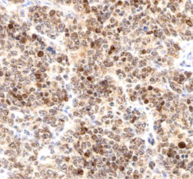
BIK Polyclonal specifically detects BIK in Human samples. It is validated for Western Blot, Immunohistochemistry.Specifications
BIK | |
Polyclonal | |
Unconjugated | |
Lyophilized from a 0.2 μm filtered solution in PBS with Trehalose. *Small pack size (SP) is supplied as a 0.2 μm filtered solution in PBS. with No Preservative | |
Apoptosis inducer NBK, bcl-2-interacting killer, BCL2-interacting killer (apoptosis-inducing), BIP1, BP4, NBK, NBKapoptosis-inducing NBK | |
Sheep | |
Affinity Purified | |
RUO | |
638 | |
Reconstitute at 0.2 mg/mL in sterile PBS. | |
Use a manual defrost freezer and avoid repeated freeze-thaw cycles. 12 months from date of receipt, -20 to -70 degreesC as supplied. 1 month, 2 to 8 degreesC under sterile conditions after reconstitution. 6 months, -20 to -70 degreesC under sterile conditions after reconstitution. |
Western Blot, Immunohistochemistry | |
LYOPH | |
Western Blot 1 ug/mL, Immunohistochemistry 5-15 ug/mL | |
Q13323 | |
BIK | |
E. coli-derived recombinant human BIK Met1-Gln135 Accession # Q13323 | |
25 μg | |
Primary | |
Detects human BIK in Western Blots. | |
Human | |
IgG |
Product Content Correction
Your input is important to us. Please complete this form to provide feedback related to the content on this product.
Product Title
For Research Use Only
Spot an opportunity for improvement?Share a Content Correction