Learn More
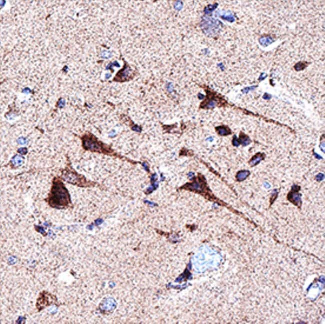
Human FAM20B Antibody, R&D Systems™

Description
Specifications
Specifications
| Antigen | FAM20B |
| Applications | Immunohistochemistry |
| Classification | Monoclonal |
| Clone | 1018524 |
| Conjugate | Unconjugated |
| Dilution | Immunohistochemistry 5-25 ug/mL |
| Formulation | Lyophilized from a 0.2 μm filtered solution in PBS with Trehalose. *Small pack size (SP) is supplied as a 0.2 μm filtered solution in PBS. |
| Gene Accession No. | O75063 |
| Gene Alias | EC 2.7.1.-, family with sequence similarity 20, member B, glycosaminoglycan xylosylkinase, gxk1, KIAA0475, Protein FAM20B, XYLK, Xylose Kinase |
| Host Species | Mouse |
| Show More |
By clicking Submit, you acknowledge that you may be contacted by Fisher Scientific in regards to the feedback you have provided in this form. We will not share your information for any other purposes. All contact information provided shall also be maintained in accordance with our Privacy Policy.