Promotional price valid on web orders only. Your contract pricing may differ. Interested in signing up for a dedicated account number?
Learn More
Learn More
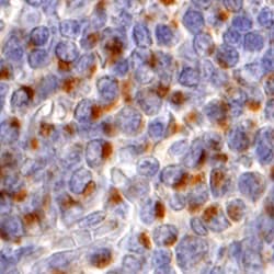
Human FoxP3 Antibody, R&D Systems™

Goat Polyclonal Antibody has been used in 2 publications
Supplier: R&D Systems AF3240SP
This item is not returnable.
View return policy
Description
FoxP3 Polyclonal specifically detects FoxP3 in Human samples. It is validated for Western Blot, Immunohistochemistry, Chromatin Immunoprecipitation (ChIP), Immunocytochemistry.Specifications
| FoxP3 | |
| Polyclonal | |
| Unconjugated | |
| Lyophilized from a 0.2 μm filtered solution in PBS with Trehalose. *Small pack size (SP) is supplied as a 0.2 μm filtered solution in PBS. with No Preservative | |
| AIID, AIIDMGC141961, DIETER, forkhead box P3, Forkhead Box Protein P3, FOXP3delta7, immune dysregulation, polyendocrinopathy, enteropathy, X-linked, Immunodeficiency, Polyendocrinopathy, Enteropathy, X-Linked, IPEX, JM2, MGC141961, MGC141963, PIDX, PIDXMGC141963, Scurfin, XPID, XPIDpolyendocrinopathy, enteropathy, X-linked | |
| Goat | |
| Affinity Purified | |
| RUO | |
| 50943 | |
| Reconstitute at 0.2 mg/mL in sterile PBS. | |
| Use a manual defrost freezer and avoid repeated freeze-thaw cycles. 12 months from date of receipt, -20 to -70 degreesC as supplied. 1 month, 2 to 8 degreesC under sterile conditions after reconstitution. 6 months, -20 to -70 degreesC under sterile conditions after reconstitution. |
| ChIP Assay, Immunocytochemistry, Immunohistochemistry | |
| LYOPH | |
| Western Blot 1 ug/mL, Immunohistochemistry 5-15 ug/mL, Chromatin Immunoprecipitation (ChIP) 5 ug/5 x 10^6 cells, Immunocytochemistry 5-15 ug/mL | |
| Q9BZS1 | |
| FOXP3 | |
| E. coli-derived recombinant human FoxP3 Gln105-Lys200 Accession # Q9BZS1 | |
| 25 μg | |
| Primary | |
| Detects human FoxP3 in direct ELISAs and Western blots. In direct ELISAs, less than 1% cross-reactivity with recombinant human FoxD3 is observed. | |
| Human | |
| IgG |
Product Content Correction
Your input is important to us. Please complete this form to provide feedback related to the content on this product.
Product Title
For Research Use Only
Spot an opportunity for improvement?Share a Content Correction