Promotional price valid on web orders only. Your contract pricing may differ. Interested in signing up for a dedicated account number?
Learn More
Learn More
Invitrogen™ Human IgM Polyclonal Antibody

Rabbit Polyclonal Antibody
Supplier: Invitrogen™ PA586030
Description
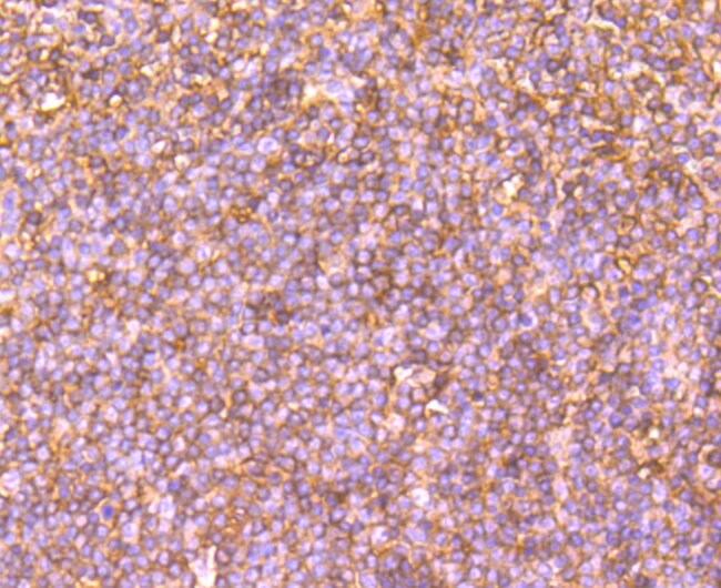
Human IgM Polyclonal Antibody for Western Blot, IHC (P)
IgM is expressed intracellularly, during early stages of B lymphopoiesis, and then on the surface of more mature B cells in the bone marrow and peripheral B cells.
Specifications
Human IgM | |
Polyclonal | |
Unconjugated | |
IGHM | |
AGM1; IGHM; immunoglobulin heavy constant mu; MU; VH | |
Rabbit | |
Protein A | |
RUO | |
3507 | |
Store at 4°C short term. For long term storage, store at -20°C, avoiding freeze/thaw cycles. | |
Liquid |
Immunohistochemistry (Paraffin), Western Blot | |
1 mg/mL | |
PBS with 0.2% BSA, 40% Glycerol and 0.05% sodium azide; pH 7.4 | |
P01871 | |
IGHM | |
Human IgM from Human serum. | |
100 μL | |
Primary | |
Human | |
Antibody | |
IgG |
Safety and Handling
WARNING: Cancer - www.P65Warnings.ca.gov
Product Content Correction
Your input is important to us. Please complete this form to provide feedback related to the content on this product.
Product Title
Spot an opportunity for improvement?Share a Content Correction