Learn More
Invitrogen™ Human IgM Recombinant Rabbit Monoclonal Antibody (6F7T2)

Description
Positive Samples: Human plasma Immunogen sequence: GSASAPTLFP LVSCENSPSD TSSVAVGCLA QDFLPDSITF SWKYKNNSDI SSTRGFPSVL RGGKYAATSQ VLLPSKDVMQ GTDEHVVCKV QHPNGNKEKN VPLPVIAELP PKVSVFVPPR DGFFGNPRKS KLICQATGFS PRQIQVSWLR EGKQVGSGVT TDQVQAEAKE SGPTTYKVTS TLTIKESDWL GQSMFTCRVD HRGLTFQQNA SSMCVPDQDT AIRVFAIPPS FASIFLTKST KLTCLVTDLT TYDSVTISWT RQNGEAVKTH TNISESHPNA TFSAVGEASI CEDDWNSGER FTCTVTHTDL PSPLKQTISR PKGVALHRPD VYLLPPAREQ LNLRESATIT CLVTGFSPAD VFVQWMQRGQ PLSPEKYVTS APMPEPQAPG RYFAHSILTV SEEEWNTGET YTCVVAHEAL PNRVTERTVD KSTGKPTLYN VSLVMSDTAG TCY.
Specifications
Specifications
| Antigen | Human IgM |
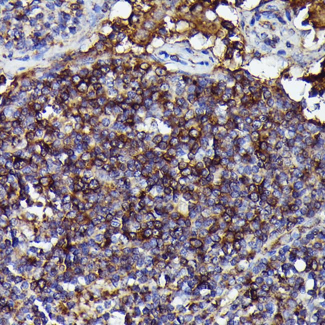
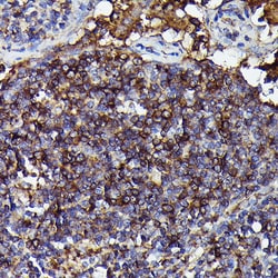
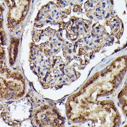
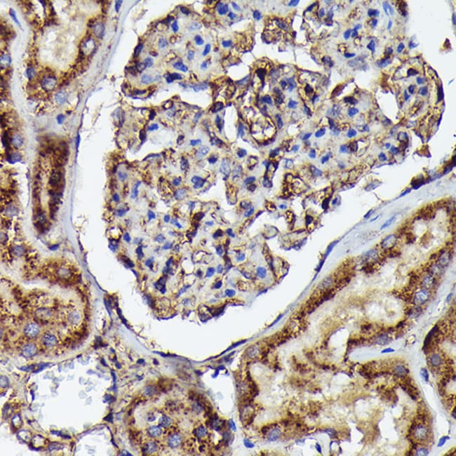
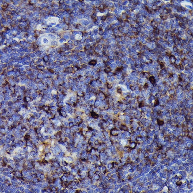
| Applications | ELISA, Immunohistochemistry (Paraffin), Western Blot |
| Classification | Recombinant Monoclonal |
| Clone | 6F7T2 |
| Concentration | 0.5 mg/mL |
| Conjugate | Unconjugated |
| Formulation | PBS with 50% glycerol, 0.05% BSA and 0.02% sodium azide; pH 7.3 |
| Gene | IGHM |
| Gene Accession No. | P01871 |
| Gene Alias | AGM1; IGHM; immunoglobulin heavy constant mu; MU; VH |
| Show More |
Safety and Handling
By clicking Submit, you acknowledge that you may be contacted by Fisher Scientific in regards to the feedback you have provided in this form. We will not share your information for any other purposes. All contact information provided shall also be maintained in accordance with our Privacy Policy.