Promotional price valid on web orders only. Your contract pricing may differ. Interested in signing up for a dedicated account number?
Learn More
Learn More
Human Mcl-1 Antibody, R&D Systems™

Mouse Monoclonal Antibody
Supplier: R&D Systems MAB8281
This item is not returnable.
View return policy
Description
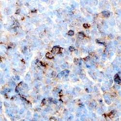
Mcl-1 Monoclonal specifically detects Mcl-1 in Human samples. It is validated for Immunohistochemistry.Specifications
Mcl-1 | |
Monoclonal | |
Unconjugated | |
Lyophilized from a 0.2 μm filtered solution in PBS with Trehalose. *Small pack size (SP) is supplied as a 0.2 μm filtered solution in PBS. with No Preservative | |
bcl2-L-3, BCL2L3, BCL2L3MGC104264, Bcl-2-like protein 3, Bcl-2-related protein EAT/mcl1, EAT, induced myeloid leukemia cell differentiation protein Mcl-1, Mcl1, Mcl-1, mcl1/EAT, MCL1-ES, MCL1L, MCL1S, MGC1839, myeloid cell leukemia ES, myeloid cell leukemia sequence 1 (BCL2-related), TM | |
Mouse | |
Protein A or G purified from hybridoma culture supernatant | |
RUO | |
4170 | |
Sterile PBS to a final concentration of 0.5 mg/mL. | |
Use a manual defrost freezer and avoid repeated freeze-thaw cycles. 12 months from date of receipt, -20 to -70 degreesC as supplied. 1 month, 2 to 8 degreesC under sterile conditions after reconstitution. 6 months, -20 to -70 degreesC under sterile conditions after reconstitution. | |
IgG2b |
Immunohistochemistry | |
602901 | |
Immunohistochemistry 8-25 ug/mL | |
Q07820 | |
MCL1 | |
E. coli-derived recombinant human Mcl-1 Met231-Arg350 Accession # Q07820 | |
100 μg | |
Primary | |
Detects human Mcl-1 in direct ELISAs. | |
Human | |
Purified |
Product Content Correction
Your input is important to us. Please complete this form to provide feedback related to the content on this product.
Product Title
Spot an opportunity for improvement?Share a Content Correction