Promotional price valid on web orders only. Your contract pricing may differ. Interested in signing up for a dedicated account number?
Learn More
Learn More
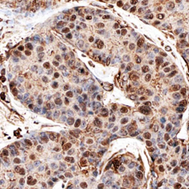
Human MERIT40 Antibody, R&D Systems™

Sheep Polyclonal Antibody
Supplier: R&D Systems AF6604
This item is not returnable.
View return policy
Description
MERIT40/HSPC142 Polyclonal specifically detects MERIT40/HSPC142 in Human samples. It is validated for Western Blot, Immunohistochemistry.Specifications
MERIT40/HSPC142 | |
Polyclonal | |
Unconjugated | |
Q9NWV8 | |
BABAM1 | |
E. coli-derived recombinant human MERIT40 Asn182-Val329 Accession # Q9NWV8 | |
100 μg | |
Primary | |
Detects human MERIT40 in Western blots. | |
Human | |
IgG |
Western Blot, Immunohistochemistry | |
LYOPH | |
Western Blot 1 ug/mL, Immunohistochemistry 5-15 ug/mL | |
BABAM1, BRISC and BRCA1 A complex member 1, C10orf62, C19orf62, chromosome 19 open reading frame 62, FLJ20571, HSPC142, mediator of Rap80 interactions and targeting 40 kDa, Mediator of RAP80 interactions and targeting subunit of 40 kDa, MERIT40BRCA1-A complex subunit MERIT40, NBA1, NBA1BRISC and BRCA1 A complex member, new component of the BRCA1 A complex, New component of the BRCA1-A complex, new component of the BRCAA1 A complex | |
Sheep | |
Affinity Purified | |
RUO | |
29086 | |
Sterile PBS to a final concentration of 0.2 mg/mL. | |
Use a manual defrost freezer and avoid repeated freeze-thaw cycles. 12 months from date of receipt, -20 to -70 degreesC as supplied. 1 month, 2 to 8 degreesC under sterile conditions after reconstitution. 6 months, -20 to -70 degreesC under sterile conditions after reconstitution. |
Product Content Correction
Your input is important to us. Please complete this form to provide feedback related to the content on this product.
Product Title
Spot an opportunity for improvement?Share a Content Correction