Promotional price valid on web orders only. Your contract pricing may differ. Interested in signing up for a dedicated account number?
Learn More
Learn More
Human/Mouse/Rat Phospho-RSK1 (S221)/RSK2 (S227) Antibody, R&D Systems™

Rabbit Polyclonal Antibody has been used in 4 publications
Supplier: R&D Systems AF892
This item is not returnable.
View return policy
Description
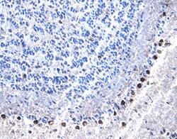
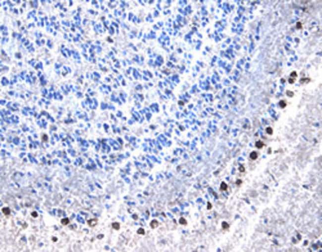
RSK1/RSK2 Polyclonal specifically detects RSK1/RSK2 in Human, Mouse, Rat samples. It is validated for Western Blot, Immunohistochemistry.Specifications
RSK1/RSK2 (p Ser221, p Ser227) | |
Polyclonal | |
Unconjugated | |
Rabbit | |
Affinity Purified | |
RUO | |
Detects human, mouse, and rat RSK1 when phosphorylated at S221, and human and mouse RSK2 when phosphorylated at S227. | |
Use a manual defrost freezer and avoid repeated freeze-thaw cycles. 12 months from date of receipt, -20 to -70 degreesC, as supplied. 1 month, 2 to 8 degreesC under sterile conditions after opening. 6 months, -20 to -70 degreesC under sterile conditions after opening. |
Western Blot, Immunohistochemistry | |
LYOPH | |
Western Blot 0.5 ug/mL, Immunohistochemistry 5-15 ug/mL | |
Phosphopeptide containing human RSK1 S221 site | |
100 μg | |
Primary | |
Human, Mouse, Rat | |
IgG |
Product Content Correction
Your input is important to us. Please complete this form to provide feedback related to the content on this product.
Product Title
Spot an opportunity for improvement?Share a Content Correction