Promotional price valid on web orders only. Your contract pricing may differ. Interested in signing up for a dedicated account number?
Learn More
Learn More
Human Wnt-10b Antibody, R&D Systems™

Mouse Monoclonal Antibody
Supplier: R&D Systems MAB71961
This item is not returnable.
View return policy
Description
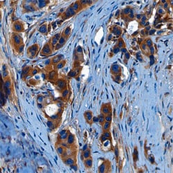
Wnt-10b Monoclonal specifically detects Wnt-10b in Human samples. It is validated for Immunohistochemistry.Specifications
Wnt-10b | |
Monoclonal | |
LYOPH | |
Immunohistochemistry 8-25 ug/mL | |
O00744 | |
WNT10B | |
Chinese hamster ovary cell line CHO-derived recombinant human Wnt-10b Asn29-Lys389 Accession # O00744 | |
100 μg | |
Primary | |
Detects human Wnt-10b in direct ELISAs. In direct ELISAs, 100% cross-reactivity with recombinant mouse Wnt-10b is observed and no cross-reactivity with recombinant human Wnt-6 is observed. | |
Human | |
Purified |
Immunohistochemistry | |
793116 | |
Unconjugated | |
Lyophilized from a 0.2 μm filtered solution in PBS with Trehalose. *Small pack size (SP) is supplied as a 0.2 μm filtered solution in PBS. with No Preservative | |
protein Wnt-10b, Protein Wnt-12, SHFM6WNT-10B protein, wingless-type MMTV integration site family, member 10B, Wnt10b, Wnt-12, WNT12 | |
Mouse | |
Protein A or G purified from hybridoma culture supernatant | |
RUO | |
7480 | |
Sterile PBS to a final concentration of 0.5 mg/mL. | |
Use a manual defrost freezer and avoid repeated freeze-thaw cycles. 12 months from date of receipt, -20 to -70 degreesC as supplied. 1 month, 2 to 8 degreesC under sterile conditions after reconstitution. 6 months, -20 to -70 degreesC under sterile conditions after reconstitution. | |
IgG2a |
Product Content Correction
Your input is important to us. Please complete this form to provide feedback related to the content on this product.
Product Title
Spot an opportunity for improvement?Share a Content Correction