Promotional price valid on web orders only. Your contract pricing may differ. Interested in signing up for a dedicated account number?
Learn More
Learn More
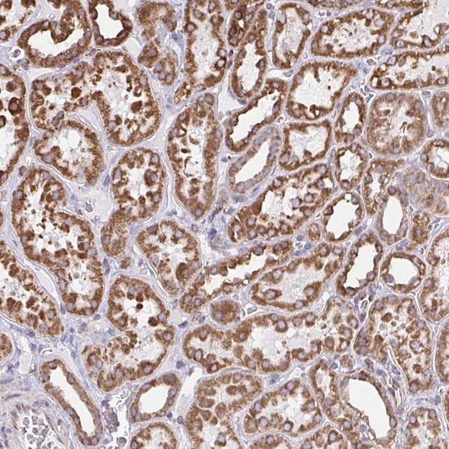
Invitrogen™ HuR Polyclonal Antibody

Rabbit Polyclonal Antibody
Supplier: Invitrogen™ PA583813
Description
Immunogen sequence: MSNGYEDHMA EDCRGDIGRT NLIVN.
The protein encoded by this gene is a member of the ELAVL protein family. This encoded protein contains 3 RNA-binding domains and binds cis-acting AU-rich elements. It destabilizes mRNAs and thereby regulates gene expression.
Specifications
HuR | |
Polyclonal | |
Unconjugated | |
ELAVL1 | |
2410055N02Rik; ELAV (embryonic lethal, abnormal vision)-like 1 (Hu antigen R); ELAV (embryonic lethal, abnormal vision, Drosophila)-like 1 (Hu antigen R); ELAV like 1; ELAV like RNA binding protein 1; ELAV like RNA binding protein 1a; ELAV1; Elavl1; elavl1 protein; elavl1a; elav-like generic protein; ELAV-like protein 1; ELAV-like protein 1; ELAV-like protein 1a; elav-related A; Elra; embryonic lethal, abnormal vision, drosophila, homolog-like 1; embryonic lethal, abnormal vision-related A; etID309757.2; fa25f08; fb59a02; fc60g02; Hu antigen R; Hua; HU-antigen A; hu-antigen R; Human antigen R; HuR; melG; ribonucleoprotein; W91709; wu:fa25f08; wu:fb59a02; wu:fc60g02; zHuA | |
Rabbit | |
Antigen affinity chromatography | |
RUO | |
1994 | |
Store at 4°C short term. For long term storage, store at -20°C, avoiding freeze/thaw cycles. | |
Liquid |
Immunohistochemistry (Paraffin) | |
0.05 mg/mL | |
PBS with 40% glycerol and 0.02% sodium azide; pH 7.2 | |
Q15717 | |
ELAVL1 | |
Recombinant protein corresponding to Human ELAVL1. Recombinant protein control fragment (Product #RP-102986). | |
100 μL | |
Primary | |
Human | |
Antibody | |
IgG |
Safety and Handling
WARNING: Cancer - www.P65Warnings.ca.gov
Product Content Correction
Your input is important to us. Please complete this form to provide feedback related to the content on this product.
Product Title
Spot an opportunity for improvement?Share a Content Correction