Promotional price valid on web orders only. Your contract pricing may differ. Interested in signing up for a dedicated account number?
Learn More
Learn More
Invitrogen™ HYOU1 Recombinant Rabbit Monoclonal Antibody (6H7X2)

Rabbit Recombinant Monoclonal Antibody
Supplier: Invitrogen™ MA537830
Description
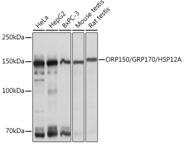
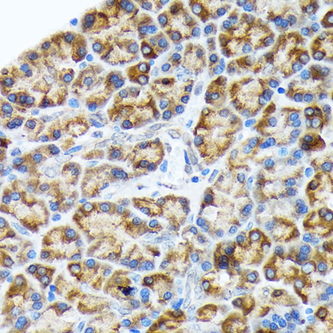
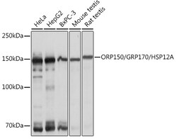
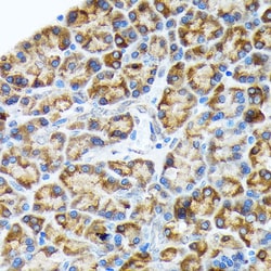
Positive Samples: HeLa, HepG2, BxPC-3, Mouse testis, Rat testis Immunogen sequence: MADKVRRQRP RRRVCWALVA VLLADLLALS DTLAVMSVDL GSESMKVAIV KPGVPMEIVL NKESRRKTPV IVTLKENERF FGDSAASMAI KNPKATLRYF QHLLGKQADN PHVALYQARF PEHELTFDPQ RQTVHFQISS QLQFSPEEVL.
HYOU1 belongs to the heat shock protein 70 family. The protein is thought to play an important role in protein folding and secretion in the ER. Since suppression of the protein is associated with accelerated apoptosis, it is also suggested to have an important cytoprotective role in hypoxia-induced cellular perturbation. This protein has been shown to be up-regulated in tumors, especially in breast tumors, and thus it is associated with tumor invasiveness. This signal peptide-lacking protein, which is only 3 amino acids shorter than the mature protein in the ER, is thought to have a housekeeping function in the cytosol. In rat, this protein localizes to both the ER by a carboxy-terminal peptide sequence and to mitochondria by an amino-terminal targeting signal.
Specifications
HYOU1 | |
Recombinant Monoclonal | |
0.15 mg/mL | |
PBS with 0.05% BSA, 50% glycerol and 0.02% sodium azide; pH 7.3 | |
Q63617, Q9JKR6, Q9Y4L1 | |
HYOU1 | |
Recombinant fusion protein containing a sequence corresponding to amino acids 1-150 of human ORP150/GRP170/HSP12A (Q9Y4L1). | |
100 μL | |
Primary | |
Human, Mouse, Rat | |
Antibody | |
IgG |
ELISA, Immunohistochemistry (Paraffin), Western Blot | |
6H7X2 | |
Unconjugated | |
HYOU1 | |
140 kDa Ca(2+)-binding protein; 150 kDa oxygen-regulated protein; 150-kDa oxygen regulated protein; 170 kDa glucose regulated protein GRP170; 170 kDa glucose-regulated protein; AI415631; Cab140; calcium binding protein 140; calcium binding protein, 140 kDa; CBP-140; DKFZp686N08236; FLJ94899; FLJ97572; Grp 170; Grp170; GRP-170; HSP 12A; HSP12A; HYOU1; hypoxia up-regulated 1; hypoxia up-regulated protein 1; Orp 150; Orp150; ORP-150; oxygen regulated protein (150kD) | |
Rabbit | |
Affinity chromatography | |
RUO | |
10525, 12282, 192235 | |
-20°C, Avoid Freeze/Thaw Cycles | |
Liquid |
Product Content Correction
Your input is important to us. Please complete this form to provide feedback related to the content on this product.
Product Title
Spot an opportunity for improvement?Share a Content Correction