Promotional price valid on web orders only. Your contract pricing may differ. Interested in signing up for a dedicated account number?
Learn More
Learn More
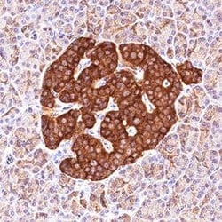
Invitrogen™ ICA1 Polyclonal Antibody

Goat Polyclonal Antibody
Supplier: Invitrogen™ PA547573
Description
Reconstitute at 0.2 mg/mL in sterile PBS.
This gene encodes a protein with an arfaptin homology domain that is found both in the cytosol and as membrane-bound form on the Golgi complex and immature secretory granules. This protein is believed to be an autoantigen in insulin-dependent diabetes mellitus and primary Sjogren's syndrome. Alternatively spliced variants which encode different protein isoforms have been described; however, not all variants have been fully characterized.
Specifications
| ICA1 | |
| Polyclonal | |
| Unconjugated | |
| ICA1 | |
| 69 kDa islet cell autoantigen; 69kDa; diabetes mellitus type I autoantigen; ica1; ica1 {ECO:0000312; ICA69; ICAp69; Islet cell autoantigen 1; islet cell autoantigen 1 isoform; islet cell autoantigen 1, 69 kDa; islet cell autoantigen 1, 69kDa; islet cell autoantigen p69; p69; RGD:621465}; testicular tissue protein Li 162; Unknown (protein for MGC:134001); zgc:92566 | |
| Goat | |
| Antigen affinity chromatography | |
| RUO | |
| 3382 | |
| -20°C, Avoid Freeze/Thaw Cycles | |
| Lyophilized |
| Flow Cytometry, Immunohistochemistry, Immunohistochemistry (Paraffin), Western Blot | |
| 0.2 mg/mL | |
| PBS with 5% trehalose and No Preservative | |
| Q05084 | |
| ICA1 | |
| E. coli-derived recombinant human ICA1 Ser2-Ala482. | |
| 100 μg | |
| Primary | |
| Human | |
| Antibody | |
| IgG |
Product Content Correction
Your input is important to us. Please complete this form to provide feedback related to the content on this product.
Product Title
Spot an opportunity for improvement?Share a Content Correction