Promotional price valid on web orders only. Your contract pricing may differ. Interested in signing up for a dedicated account number?
Learn More
Learn More
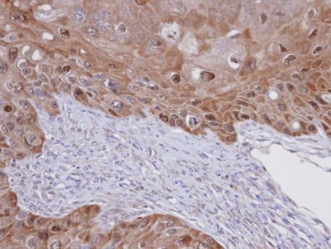
Invitrogen™ IDI1 Polyclonal Antibody

Rabbit Polyclonal Antibody
Supplier: Invitrogen™ PA521720
Description
Recommended positive controls: 293T, Molt-4. Predicted reactivity: Mouse (87%), Rat (86%), Zebrafish (81%), Xenopus laevis (80%), Bovine (89%). Store product as a concentrated solution. Centrifuge briefly prior to opening the vial.
IDI1 encodes a peroxisomally-localized enzyme that catalyzes the interconversion of isopentenyl diphosphate (IPP) to its highly electrophilic isomer, dimethylallyl diphosphate (DMAPP), which are the substrates for the successive reaction that results in the synthesis of farnesyl diphosphate and, ultimately, cholesterol. It has been shown in peroxisomal deficiency diseases such as Zellweger syndrome and neonatal adrenoleukodystrophy that there is reduction in IPP isomerase activity.
Specifications
| IDI1 | |
| Polyclonal | |
| Unconjugated | |
| IDI1 | |
| 4832416K17Rik; IDI1; IPP isomerase 1; IPP1; IPPI1; isopentenyl diphosphate dimethylallyl diphosphate isomerase 1; isopentenyl pyrophosphate isomerase 1; isopentenyl-diphosphate delta isomerase; isopentenyl-diphosphate delta isomerase 1; isopentenyl-diphosphate Delta-isomerase 1 | |
| Rabbit | |
| Antigen affinity chromatography | |
| RUO | |
| 3422 | |
| Store at 4°C short term. For long term storage, store at -20°C, avoiding freeze/thaw cycles. | |
| Liquid |
| Immunohistochemistry (Paraffin), Western Blot | |
| 0.65 mg/mL | |
| 0.1M tris glycine with 10% glycerol and 0.01% thimerosal; pH 7 | |
| Q13907 | |
| IDI1 | |
| Recombinant protein encompassing a sequence within the center region of human IDI1. The exact sequence is proprietary. | |
| 100 μL | |
| Primary | |
| Human | |
| Antibody | |
| IgG |
Product Content Correction
Your input is important to us. Please complete this form to provide feedback related to the content on this product.
Product Title
Spot an opportunity for improvement?Share a Content Correction