Promotional price valid on web orders only. Your contract pricing may differ. Interested in signing up for a dedicated account number?
Learn More
Learn More
Invitrogen™ IER5 Polyclonal Antibody

Rabbit Polyclonal Antibody
Supplier: Invitrogen™ PA5120642
This item is not returnable.
View return policy
Description
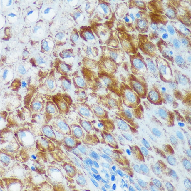
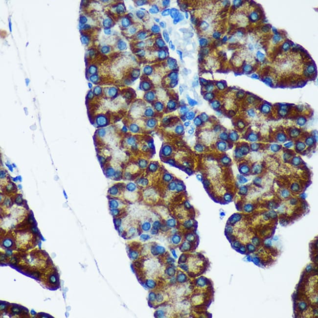
Positive test controls include: HeLa, A-549, Mouse testis, Rat lung. Immunogen sequence: APQPAEDEPP APPAVCPRKR CAAGVGGGPA GCPAPGSTPL KKPRRNLEQP PSGGEDDDAE EMETGNVANL ISIFGSSFSG LLRKSPGGGR EEEEGEESGP E.
This gene encodes a protein that is similar to other immediate early response proteins. In the mouse, a similar gene may play an important role in mediating the cellular response to mitogenic signals. Studies in rats found the expression of a similar gene to be increased after waking and sleep deprivation.
Specifications
| IER5 | |
| Polyclonal | |
| Unconjugated | |
| IER5 | |
| Ier5; immediate early response 5; immediate early response gene 5 protein; immediately early response; MGC102760; PP4583; SBBI48; si:dz129i22.1; Unknown (protein for MGC:136422); wu:fa99a02; wu:fb04b03; wu:fb11f08; zgc:136422 | |
| Rabbit | |
| Affinity chromatography | |
| RUO | |
| 15939, 498256, 51278 | |
| -20°C, Avoid Freeze/Thaw Cycles | |
| Liquid |
| ELISA, Immunohistochemistry (Paraffin), Western Blot, Immunocytochemistry | |
| 1.33 mg/mL | |
| PBS with 50% glycerol and 0.01% thimerosal; pH 7.3 | |
| O89113, Q5VY09 | |
| IER5 | |
| A synthetic peptide corresponding to a sequence within amino acids 200-300 of human IER5 (NP_057629.2). | |
| 100 μL | |
| Primary | |
| Human, Mouse, Rat | |
| Antibody | |
| IgG |
Product Content Correction
Your input is important to us. Please complete this form to provide feedback related to the content on this product.
Product Title
Spot an opportunity for improvement?Share a Content Correction