Promotional price valid on web orders only. Your contract pricing may differ. Interested in signing up for a dedicated account number?
Learn More
Learn More
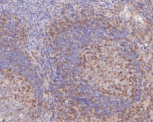
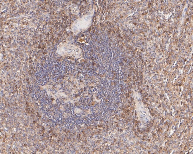
Invitrogen™ IFITM1 Polyclonal Antibody

Rabbit Polyclonal Antibody
Supplier: Invitrogen™ PA5116480
Description
Positive controls: K562 cell lysate, SHG-44 cell lysate, human tonsil tissue, human spleen tissue, K562.
IFITM1 (Interferon inducible transmembrane protein 1) is a member of the IFN-inducible transmembrane protein family. It is an essential mediator of interferon-gamma-induced antiproliferation and plays a role in the control of cell growth. IFITM1 is upregulated in several tumor types and may be useful as a tumor biomarker. Both mouse IFITM1 and IFITM3 are expressed on the cell surfaces of primordial germ cells in a developmentally-regulated manner. IFITM1 activity is required for primordial germ cell transit, and IFITM1 acts as a repulsive molecule by repelling non-IFITM1-expressing primordial germ cells from the mesoderm into the endoderm.
Specifications
| IFITM1 | |
| Polyclonal | |
| Unconjugated | |
| Ifitm1 | |
| 1110036C17Rik; 27-Sep; 9-27; CD225; dispanin subfamily A member 2a; DSPA2a; Fragilis protein 2; fragilis2; IFI17; IFITM1; ifitm-like protein 2; interferon induced transmembrane protein 1; interferon induced transmembrane protein 2 like; interferon-induced protein 17; Interferon-induced transmembrane protein 1; interferon-inducible protein 9-27; LEU13; Leu-13 antigen; Mil2; Mil-2; Mouse ifitm-like protein 2 | |
| Rabbit | |
| Antigen Affinity Chromatography | |
| RUO | |
| 8519 | |
| Store at 4°C short term. For long term storage, store at -20°C, avoiding freeze/thaw cycles. | |
| Liquid |
| Flow Cytometry, Immunohistochemistry (Paraffin), Western Blot | |
| 1 mg/mL | |
| PBS with 0.2% BSA, 50% glycerol and 0.05% sodium azide; pH 7.4 | |
| P13164 | |
| Ifitm1 | |
| Synthetic peptide within Human IFITM1 aa 1-50. | |
| 100 μL | |
| Primary | |
| Human | |
| Antibody | |
| IgG |
Product Content Correction
Your input is important to us. Please complete this form to provide feedback related to the content on this product.
Product Title
Spot an opportunity for improvement?Share a Content Correction