Promotional price valid on web orders only. Your contract pricing may differ. Interested in signing up for a dedicated account number?
Learn More
Learn More
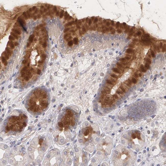
Invitrogen™ IFNGR2 Polyclonal Antibody

Rabbit Polyclonal Antibody
Supplier: Invitrogen™ PA551596
Description
Immunogen sequence: ASPSAGFPMD FNVTLRLRAE LGALHSAWVT MPWFQHYRNV TVGPPENIEV TPGEGSLIIR FSSPFDIADT STAFFCYYVH YWEKGGIQQV KGPFRSNSIS LDNLKPSRVY CLQVQAQLLW NKSNIFRVGH LSNIS Highest antigen sequence identity to the following orthologs: Mouse - 57%, Rat - 57%.
This gene (IFNGR2) encodes the non-ligand-binding beta chain of the gamma interferon receptor. Human interferon-gamma receptor is a heterodimer of IFNGR1 and IFNGR2. Defects in IFNGR2 are a cause of mendelian susceptibility to mycobacterial disease (MSMD), also known as familial disseminated atypical mycobacterial infection. MSMD is a genetically heterogeneous disease with autosomal recessive, autosomal dominant or X-linked inheritance.
Specifications
IFNGR2 | |
Polyclonal | |
Unconjugated | |
IFNGR2 | |
AF-1; Ifgr2; Ifgt; IFN-gamma receptor 2; IFN-gamma-R2; IFN-gamma-R-beta; IFNGR2; IFNGT1; IMD28; Interferon gamma receptor 2; interferon gamma receptor 2 (interferon gamma transducer 1); interferon gamma receptor accessory factor 1; interferon gamma receptor accessory factor-1; interferon gamma receptor beta chain; Interferon gamma receptor beta-chain; Interferon gamma transducer 1 | |
Rabbit | |
Antigen affinity chromatography | |
RUO | |
3460 | |
Store at 4°C short term. For long term storage, store at -20°C, avoiding freeze/thaw cycles. | |
Liquid |
Immunohistochemistry (Paraffin), Immunocytochemistry | |
0.1 mg/mL | |
PBS with 40% glycerol and 0.02% sodium azide; pH 7.2 | |
P38484 | |
IFNGR2 | |
Recombinant protein corresponding to Human IFNGR2. Recombinant protein control fragment (Product #RP-95409). | |
100 μL | |
Primary | |
Human | |
Antibody | |
IgG |
Safety and Handling
WARNING: Cancer - www.P65Warnings.ca.gov
Product Content Correction
Your input is important to us. Please complete this form to provide feedback related to the content on this product.
Product Title
Spot an opportunity for improvement?Share a Content Correction