Promotional price valid on web orders only. Your contract pricing may differ. Interested in signing up for a dedicated account number?
Learn More
Learn More
IFT46 Polyclonal Antibody

IFT46 Polyclonal Antibody
Supplier: Thermo Scientific PA558162
Description
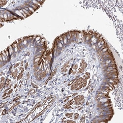
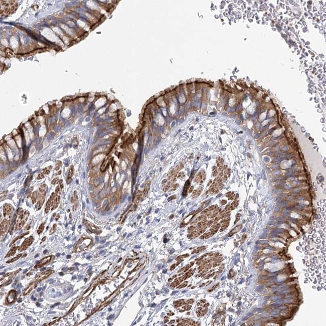
IFT46 Polyclonal Antibody for IHC

Specifications
IFT46 | |
Polyclonal | |
Unconjugated | |
IFT46 | |
1500035H01Rik; AA408110; AI663846; c11orf2; C11orf60; CFAP32; cilia and flagella associated protein 32; Ift46; intraflagellar transport 46; intraflagellar transport 46 homolog; intraflagellar transport protein 46 homolog; intraflagellar transport protein IFT46; R75047; UPF0360 | |
Rabbit | |
Antigen Affinity Chromatography | |
RUO | |
56912 | |
Store at 4°C short term. For long term storage, store at -20°C, avoiding freeze/thaw cycles. | |
Liquid |
Immunohistochemistry (Paraffin) | |
0.3 mg/mL | |
PBS with 40% glycerol and 0.02% sodium azide; pH 7.2 | |
Q9NQC8 | |
IFT46 | |
Recombinant protein corresponding to Human IFT46. Recombinant protein control fragment (Product #RP-97312). | |
100 μL | |
Primary | |
Human | |
Antibody | |
IgG |
Safety and Handling
WARNING: Cancer - www.P65Warnings.ca.gov
Product Content Correction
Your input is important to us. Please complete this form to provide feedback related to the content on this product.
Product Title
Spot an opportunity for improvement?Share a Content Correction