Promotional price valid on web orders only. Your contract pricing may differ. Interested in signing up for a dedicated account number?
Learn More
Learn More
IFT57 Monoclonal Antibody (OTI5B6), TrueMAB™, OriGene

Mouse Monoclonal Antibody
Supplier: OriGene TA500906

Description
HIPPI is required for the formation of cilia. Plays an indirect role in sonic hedgehog signaling, cilia being required for all activity of the hedgehog pathway. Has pro-apoptotic function via its interaction with HIP1, leading to recruit caspase-8 (CASP8) and trigger apoptosis. Has the ability to bind DNA sequence motif 5′-AAAGACATG-3′ present in the promoter of caspase genes such as CASP1, CASP8 and CASP10, suggesting that it may act as a transcription regulator; however the relevance of such function remains unclear.Specifications
IFT57 | |
Monoclonal | |
0.53 mg/mL | |
PBS with 1% BSA, 50% glycerol and 0.02% sodium azide | |
Q9NWB7 | |
IFT57 | |
Full length human recombit protein of human IFT57 produced in HEK293T cell. | |
100 μL | |
Primary | |
Human | |
Antibody | |
IgG1 |
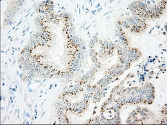
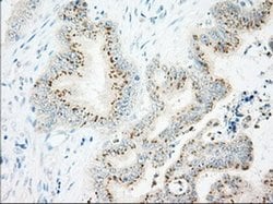
Immunohistochemistry (Paraffin), Western Blot | |
OTI5B6 | |
Unconjugated | |
IFT57 | |
ESRRBL1, HIPPI, MHS4R2 | |
Mouse | |
Affinity Chromatography | |
RUO | |
55081 | |
-20° C, Avoid Freeze/Thaw Cycles | |
Liquid |
Product Content Correction
The Fisher Scientific Encompass Program offers items which are not part of our distribution portfolio. These products typically do not have pictures or detailed descriptions. However, we are committed to improving your shopping experience. Please use the form below to provide feedback related to the content on this product.
Product Title
Spot an opportunity for improvement?Share a Content Correction