Learn More
CXCL4/PF4 Antibody (RM0210-14M15) - Azide and BSA Free, Novus Biologicals™
Shop All R&D Systems Products

Description
Specifications
Specifications
| Antigen | CXCL4/PF4 |
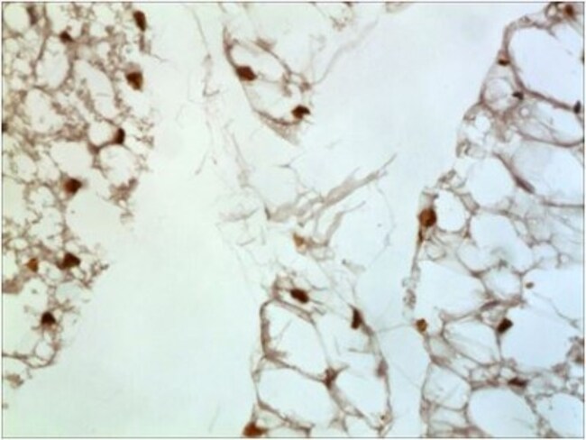
| Applications | Western Blot, Immunohistochemistry (Paraffin) |
| Classification | Monoclonal |
| Clone | RM0210-14M15 |
| Concentration | LYOPH |
| Conjugate | Unconjugated |
| Dilution | Western Blot 1:250-1000, Immunohistochemistry-Paraffin |
| Formulation | A 0.2 um filtered solution in PBS with No Preservative |
| Gene Accession No. | Q9Z126 |
| Gene Alias | chemokine (C-X-C motif) ligand 4, C-X-C motif chemokine 4, CXCL4iroplact, Iroplact, MGC138298, Oncostatin-A, PF-4, platelet factor 4, SCYB4oncostatin-A |
| Show More |
For Research Use Only
By clicking Submit, you acknowledge that you may be contacted by Fisher Scientific in regards to the feedback you have provided in this form. We will not share your information for any other purposes. All contact information provided shall also be maintained in accordance with our Privacy Policy.