Promotional price valid on web orders only. Your contract pricing may differ. Interested in signing up for a dedicated account number?
Learn More
Learn More
Invitrogen™ IL-1 alpha Monoclonal Antibody (C1)

Mouse Monoclonal Antibody
Supplier: Invitrogen™ MA541610
This item is not returnable.
View return policy
Description
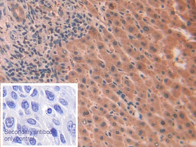
IL-1 alpha Monoclonal Antibody for Western Blot, IHC (P)
IL-1 alpha (Interleukin-1 alpha) is a proinflammatory cytokine expressed by monocytes, macrophages, and dendritic cells. IL-1 alpha is coded by the IL1A gene and signals through two receptors, IL-1RI and IL-1RII, both of which are shared with IL-1 beta. IL1A is located on the q arm on chromosome 2 at position 13. IL-1 alpha plays an important role in innate host defense by triggering the production of other proinflammatory cytokines in target cells and initiating acute-phase responses. IL-1 alpha activity can be moderated by IL-1 Receptor Antagonist (IL-1RA), a protein produced by many cell types that blocks receptor binding through competitive inhibition. IL-1 alpha is a pleiotropic cytokine involved in various immune responses, inflammatory processes, and hematopoiesis. Further, IL-1 alpha is produced by monocytes and macrophages as a proprotein, which is proteolytically processed and released in response to cell injury and induces apoptosis. The IL1A gene and eight other interleukin 1 family genes form a cytokine gene cluster on chromosome 2. IL1 alpha regulates the activities of NF-kappaB and mitogen-activated protein kinases. IL-1 alpha can stimulate the expression of IL6 and cyclooxygenase-2 (PTGS2/COX-2), as well as enhance the production of nitric oxide (NO). High levels of IL-1 alpha are associated with several chronic inflammatory diseases including rheumatoid arthritis, psoriasis and multiple sclerosis.
Specifications
IL-1 alpha | |
Monoclonal | |
1 mg/mL | |
PBS with 50% glycerol and 0.05% ProClin 300; pH 7.4 | |
P01583, P16598 | |
Il1a | |
Recombinant protein Interleukin 1 Alpha. The antigen corresponds to amino acid range 113-271 of the target protein. | |
200 μL | |
Primary | |
Human, Rat | |
Antibody | |
IgG2b κ |
Immunohistochemistry (Paraffin), Western Blot | |
C1 | |
Unconjugated | |
Il1a | |
CTLA8; hematopoietin-1; IL 1 a; IL 1a; IL1; IL-1 alpha; IL17; IL1A; Il-1a; IL-1alpha; IL1-ALPHA; IL1F1; IL1a; ILN; Interleukin; interleukin 1 alpha; interleukin 1, alpha; interleukin 17; interleukin 1a; interleukin 1-alpha; interleukin 1-alpha (AA 1 - 152); Interleukin1 alpha; interleukin-1 alpha; interleukin-1 alpha precursor; Interleukin-17A; preinterleukin 1 alpha; pre-interleukin-1 alpha; pro-interleukin-1-alpha; RP23-160G19.8 | |
Mouse | |
Protein A/G | |
RUO | |
24493, 3552 | |
Store at 4°C short term. For long term storage, store at -20°C, avoiding freeze/thaw cycles. | |
Liquid |
Safety and Handling
WARNING: Cancer - www.P65Warnings.ca.gov
Product Content Correction
Your input is important to us. Please complete this form to provide feedback related to the content on this product.
Product Title
Spot an opportunity for improvement?Share a Content Correction