Promotional price valid on web orders only. Your contract pricing may differ. Interested in signing up for a dedicated account number?
Learn More
Learn More
Invitrogen™ IL-2 Polyclonal Antibody

Goat Polyclonal Antibody
Supplier: Invitrogen™ PA546957
Description
In sandwich ELISAs, less than 0.2% cross-reactivity with recombinant human IL-2 and recombinant mouse IL-2 is observed. Reconstitute at 0.2 mg/mL in sterile PBS. Endoxin level is <0.10 EU per 1 μg of the antibody by the LAL method.
Interleukin 2 (IL-2) is an immuno-modulatory cytokine that is important for the proliferation of activated T cells, differentiation of B cells, natural killer cells, monocytes and macrophages. IL-2 signals through the IL-2 receptor (IL-2R), a heterotrimeric protein complex whose gamma chain is also shared by interleukin 4 (IL-4) and interleukin 7 (IL-7). The expression of the IL-2 gene in mature thymocytes is monoallelic, which represents an unusual regulatory mode for controlling the precise expression of a single gene. The targeted disruption of a gene similar to IL-2 in mice leads to an ulcerative colitis-like disease that suggests an essential role of this gene in the immune response to antigenic stimuli.
Specifications
| IL-2 | |
| Polyclonal | |
| Unconjugated | |
| IL2 | |
| aldesleukin; cytokine; H-IL-2; il 2; Il2; Il-2; ILN; Interleukin; interleukin 2; interleukin 2 precursor; interleukin 2 variant IL2delta2; Interleukin2; Interleukin-2; interleukin-2 precursor; interleukin-2 precursor protein; interleukin-2; interleukin 2; Involved in regulation of T cell clonal expansion; involved in regulation of T-cell clonal expansion; lymphokine; M-IL-2; patial sequence of Interleukin-2; POIL2; porcine Interleukin 2; T cell growth factor; T-cell growth factor; T-cell growth factor (TCGF); TCGF | |
| Goat | |
| Antigen affinity chromatography | |
| RUO | |
| 116562, 3558 | |
| -20°C, Avoid Freeze/Thaw Cycles | |
| Lyophilized |
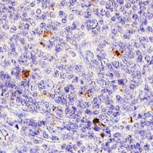
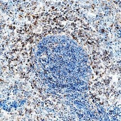
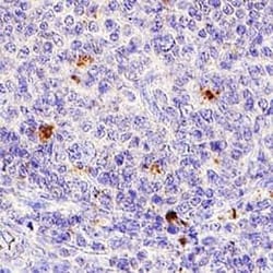
| ELISA, Immunohistochemistry (Frozen), Immunohistochemistry (Paraffin), Neutralization, Western Blot, Immunocytochemistry | |
| 0.2 mg/mL | |
| PBS with 5% trehalose and No Preservative | |
| P17108, P60568 | |
| IL2 | |
| E. coli-derived recombinant rat IL-2 Ala21-Gln155. | |
| 100 μg | |
| Primary | |
| Human, Rat | |
| Antibody | |
| IgG |
Safety and Handling
WARNING: Cancer - www.P65Warnings.ca.gov
Product Content Correction
Your input is important to us. Please complete this form to provide feedback related to the content on this product.
Product Title
Spot an opportunity for improvement?Share a Content Correction