Promotional price valid on web orders only. Your contract pricing may differ. Interested in signing up for a dedicated account number?
Learn More
Learn More
Invitrogen™ IL-22 Receptor alpha Polyclonal Antibody

Rabbit Polyclonal Antibody
Supplier: Invitrogen™ PA5113156
Description
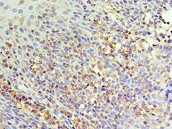
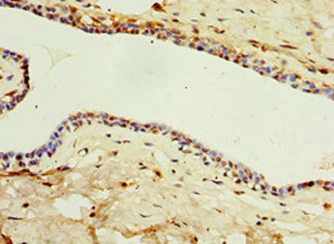
IL-22 Receptor alpha Polyclonal Antibody for Western Blot, IHC (P), ELISA
A novel cytokine, designated IL-TIF for IL-10 related T cell-derived inducible factor and IL-22, was recently identified. The receptor for IL-22 (IL-22R, also termed CRF2-9 and IL-TIF-R1 chain) is a new member of the class II cytokine receptor family. IL-22R forms a complex with IL-10 receptor beta chain and mediates IL-22 signaling. IL-22 and its receptor activate JAK-STAT signaling pathway. IL22R is expressed in normal liver and kidney and their cell lines HepG2 and TK-10. A soluble form of IL-22 receptor, also termed IL-22 binding protein (IL-22BP) and IL-22 receptor-alpha 2 (IL-22RA2), was identified very recently. IL-22BP prevents binding of IL-22 to the functional cell surface IL-22R complex and neutralizes IL-22 activity. LPS induces IL-22 expression, which indicates the role of IL-22 in inflammatory response.
Specifications
| IL-22 Receptor alpha | |
| Polyclonal | |
| Unconjugated | |
| Il22ra1 | |
| 9130219A07Rik; CRF2-9; Cytokine receptor class-II member 9; cytokine receptor family 2 member 9; ENSMUSG00000073746; il-22 receptor; IL-22 receptor subunit alpha-1; IL22R; IL-22R; IL22R1; IL22RA1; IL-22RA1; IL-22R-alpha-1; ILN; Interleukin; interleukin 22 receptor subunit alpha 1; interleukin 22 receptor, alpha 1; interleukin-22 receptor alpha chain; interleukin-22 receptor subunit alpha-1; RGD1559655; zcytoR11 | |
| Rabbit | |
| Antigen affinity chromatography | |
| RUO | |
| 230828, 58985 | |
| -20°C or -80°C if preferred | |
| Liquid |
| ELISA, Immunohistochemistry (Paraffin), Western Blot | |
| 1.2 mg/mL | |
| PBS with 50% glycerol and 0.02% sodium azide; pH 7.3 | |
| Q80XZ4, Q8N6P7 | |
| Il22ra1 | |
| Recombinant Human Interleukin-22 receptor subunit alpha-1 protein (16-230AA). | |
| 100 μL | |
| Primary | |
| Human, Mouse | |
| Antibody | |
| IgG |
Product Content Correction
Your input is important to us. Please complete this form to provide feedback related to the content on this product.
Product Title
Spot an opportunity for improvement?Share a Content Correction