Learn More
Invitrogen™ IL-4 Recombinant Rabbit Monoclonal Antibody (JA86-10)

Description
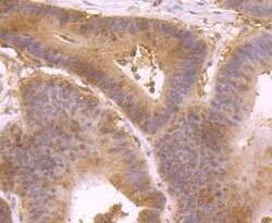
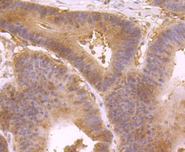
Positive Control: MCF-7, Hela, D3, human colon carcinoma tissue, human spleen tissue. Subcellular Location: Secreted.
Specifications
Specifications
| Antigen | IL-4 |
| Applications | Immunohistochemistry (Paraffin), Western Blot, Immunocytochemistry |
| Classification | Recombinant Monoclonal |
| Clone | JA86-10 |
| Concentration | 1 mg/mL |
| Conjugate | Unconjugated |
| Formulation | TBS with 0.05% BSA, 40% glycerol and 0.05% sodium azide; pH 7.4 |
| Gene | Il4 |
| Gene Accession No. | P05112 |
| Gene Alias | B cell growth factor 1; B_cell stimulatory factor 1; B-cell growth factor 1; B-cell IgG differentiation factor; B-cell stimulatory factor 1; BCGF1; BCGF-1; binetrakin; BSF1; BSF-1; cytokine; H-IL-4; IGG1 induction factor; IL2; IL4; Il-4; Il4e12; ILN; Interleukin; interleukin 4; interleukin 4 variant 2; interleukin 4 variant IL-4delta2; interleukin 4 variant IL-4delta3; interleukin 4 variant IL-4int2A; interleukin 4 variant IL-4int3A; interleukin 4 variant IL-4int3B; Interleukin4; interleukin-4; interleukin-4 precursor; lymphocyte stimulatory factor 1; MGC79402; M-IL-4; Pitrakinra |
| Show More |
By clicking Submit, you acknowledge that you may be contacted by Fisher Scientific in regards to the feedback you have provided in this form. We will not share your information for any other purposes. All contact information provided shall also be maintained in accordance with our Privacy Policy.