Promotional price valid on web orders only. Your contract pricing may differ. Interested in signing up for a dedicated account number?
Learn More
Learn More
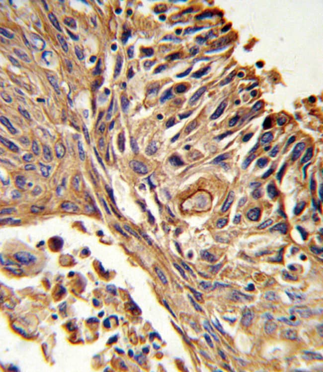
Invitrogen™ IL18RAP Polyclonal Antibody

Rabbit Polyclonal Antibody
Supplier: Invitrogen™ PA572578
Description
IL18RAP Polyclonal Antibody for Western Blot, IHC (P), Flow
The protein encoded by this gene is an accessory subunit of the heterodimeric receptor for IL18. This protein enhances the IL18 binding activity of IL18R1 (IL1RRP), a ligand binding subunit of IL18 receptor. The coexpression of IL18R1 and this protein is required for the activation of NF-kappaB and MAPK8 (JNK) in response to IL18.
Specifications
IL18RAP | |
Polyclonal | |
Unconjugated | |
IL18RAP | |
Accessory protein-like; ACPL; AcPL accessory protein-like); CD218 antigen-like family member B; CD218b; CDw218b; cluster of differentiation w218b; IL-18 RA; IL-18 receptor accessory protein; IL-18 receptor beta; IL-18RAcP; IL18RAP; IL18RB; IL-18Rbeta; IL-18R-beta; IL-1R accessory protein-like; IL1R7; IL-1R7; IL-1R-7; IL-1RAcPL; interleukin 18 receptor accessory protein; interleukin-1 receptor 7; Interleukin-18 receptor accessory protein; Interleukin-18 receptor accessory protein-like; Interleukin-18 receptor beta | |
Rabbit | |
Antigen affinity chromatography, Protein A | |
RUO | |
8807 | |
Store at 4°C short term. For long term storage, store at -20°C, avoiding freeze/thaw cycles. | |
Liquid |
Flow Cytometry, Immunohistochemistry (Paraffin), Western Blot | |
2 mg/mL | |
PBS with 0.09% sodium azide; pH 7.4 | |
O95256 | |
IL18RAP | |
KLH conjugated synthetic peptide between 73-101 amino acids from the N-terminal region of human IL18RAP. | |
400 μL | |
Primary | |
Human | |
Antibody | |
IgG |
Safety and Handling
WARNING: Cancer - www.P65Warnings.ca.gov
Product Content Correction
Your input is important to us. Please complete this form to provide feedback related to the content on this product.
Product Title
Spot an opportunity for improvement?Share a Content Correction