Promotional price valid on web orders only. Your contract pricing may differ. Interested in signing up for a dedicated account number?
Learn More
Learn More
Invitrogen™ IL1F10 Polyclonal Antibody

Rabbit Polyclonal Antibody
Supplier: Invitrogen™ PA538051
Description
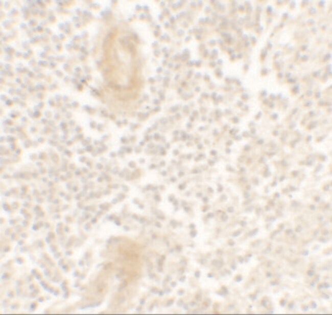
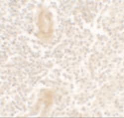
A recommended positive control is human liver tissue lysate. Two isoforms of IL-1F10 exist.
The cytokine IL-1 is responsible for initiating a variety of activities through the activation of transcription factors, NF-kappa B and AP-1, thereby promoting host response to injury or infection. IL-1F10 (Interleukin-1 family member 10), also known as FIL1T, IL1HY2 or FKSG75, is highly expressed in the skin, spleen and proliferating B-cells of the tonsil. IL-1F10 binds soluble IL-1 receptor type 1, and is one of nine Interleukin 1 families clustered on chromosome 2, where it is thought to participate in the regulation of adapted and innate immune responses. IL-1F10 and IL-1RN polymorphisms may play an important role in the susceptibility to developing rheumatoid arthritis.
Specifications
IL1F10 | |
Polyclonal | |
Unconjugated | |
IL1F10 | |
family of interleukin 1-theta; FIL1 theta; FIL1T; FIL1-theta; FKSG75; IL-1 theta; Il1f10; IL-1F10; IL-1F10 (canonical form IL-1F10a); IL1HY2; IL-1HY2; IL1-theta; IL38; IL-38; Interleukin; interleukin 1 family member 10 (theta); interleukin 1 family, member 10; interleukin 1 family, member 10 (theta); interleukin 1 family, member 7; interleukin-1 family member 10; Interleukin-1 HY2; interleukin-1 receptor antagonist FKSG75; interleukin-1 receptor antagonist-like FIL1 theta; Interleukin-1 theta; Interleukin-38; UNQ6119/PRO20041 | |
Rabbit | |
Antigen affinity chromatography | |
RUO | |
84639 | |
Maintain refrigerated at 2°C to 8°C for up to 3 months. For long term storage store at -20°C | |
Liquid |
Immunohistochemistry (Paraffin), Western Blot | |
1 mg/mL | |
PBS with 0.02% sodium azide | |
Q8WWZ1 | |
IL1F10 | |
17 amino acid peptide near the carboxy terminus of human IL-1F10. | |
100 μg | |
Primary | |
Human | |
Antibody | |
IgG |
Safety and Handling
WARNING: Cancer - www.P65Warnings.ca.gov
Product Content Correction
Your input is important to us. Please complete this form to provide feedback related to the content on this product.
Product Title
Spot an opportunity for improvement?Share a Content Correction