Promotional price valid on web orders only. Your contract pricing may differ. Interested in signing up for a dedicated account number?
Learn More
Learn More
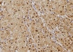
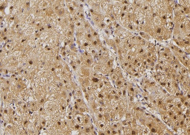
Invitrogen™ ILKAP Polyclonal Antibody

Rabbit Polyclonal Antibody
Supplier: Invitrogen™ PA5106530
Description
Antibody detects endogenous levels of total ILKAP.
The protein encoded by this gene is a protein serine/threonine phosphatase of the PP2C family. This protein can interact with integrin-linked kinase (ILK/ILK1), a regulator of integrin mediated signaling, and regulate the kinase activity of ILK. Through the interaction with ILK, this protein may selectively affect the signaling process of ILK-mediated glycogen synthase kinase 3 beta (GSK3beta), and thus participate in Wnt signaling pathway.
Specifications
| ILKAP | |
| Polyclonal | |
| Unconjugated | |
| ILKAP | |
| 0710007A14Rik; 1600009O09Rik; EC 3.1.3.16; ILK associated serine/threonine phosphatase; Ilkap; ILKAP2; ILKAP3; integrin-linked kinase associated phosphatase; integrin-linked kinase-associated serine/threonine phosphatase; integrin-linked kinase-associated serine/threonine phosphatase 2C; PP2Cdelta; PP2C-DELTA; PPM1O; protein phosphatase 2C; protein phosphatase 2c, delta isozyme; protein phosphatase, Mg2+/Mn2+ dependent 1O | |
| Rabbit | |
| Affinity Chromatography | |
| RUO | |
| 64538, 67444, 80895 | |
| -20°C | |
| Liquid |
| Immunohistochemistry (Paraffin), Western Blot, Immunocytochemistry | |
| 1 mg/mL | |
| PBS with 50% glycerol and 0.02% sodium azide; pH 7.4 | |
| Q8R0F6, Q9H0C8, Q9Z1Z6 | |
| ILKAP | |
| A synthesized peptide derived from human ILKAP(Accession Q9H0C8), corresponding to amino acid residues L51-S101. | |
| 100 μL | |
| Primary | |
| Human, Mouse, Rat | |
| Antibody | |
| IgG |
Safety and Handling
WARNING: Cancer - www.P65Warnings.ca.gov
Product Content Correction
Your input is important to us. Please complete this form to provide feedback related to the content on this product.
Product Title
Spot an opportunity for improvement?Share a Content Correction