Promotional price valid on web orders only. Your contract pricing may differ. Interested in signing up for a dedicated account number?
Learn More
Learn More
Invitrogen™ IGF2BP3 Polyclonal Antibody

Rabbit Polyclonal Antibody
Supplier: Invitrogen™ PA530398
Description
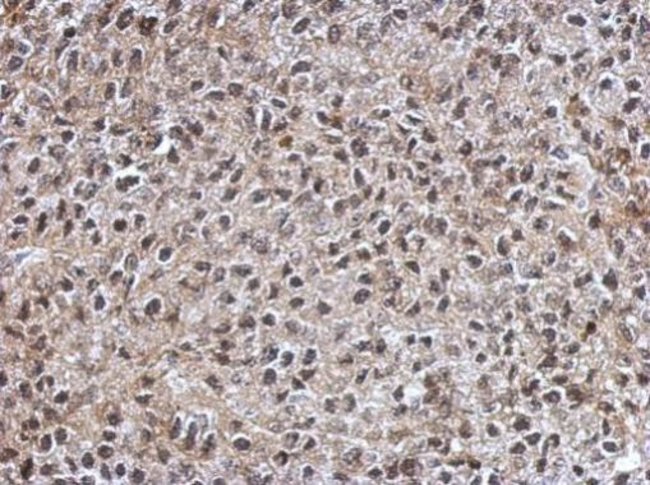
Recommended positive controls: PC-3, SK-N-SH. Predicted reactivity: Mouse (98%), Zebrafish (80%), Xenopus laevis (83%), Chicken (82%), Bovine (99%). Store product as a concentrated solution. Centrifuge briefly prior to opening the vial.
Insulin-like growth factor-II messenger RNA (mRNA)-binding protein-3 (IMP-3), also known as K homology domain-containing protein overexpressed in cancer (KOC) and L523S, is a member of the insulin-like growth factor-II mRNA-binding protein family and is expressed during embryogenesis and in some malignancies. IMP-3 is expressed in malignant melanoma but not in benign nevi, even when dysplastic features are present; IMP-3 is expressed in a significantly higher proportion of melanomas than Spitz nevi; and IMP-3 is expressed in metastatic melanomas significantly more than in thin melanomas. IMP-3 appears to be involved in the progression of malignant melanoma and may play an important role in the regulation of the biologic behavior of this tumor.
Specifications
IGF2BP3 | |
Polyclonal | |
Unconjugated | |
IGF2BP3 | |
2610101N11Rik; AA522010; Ab2-255; AL022933; AU045931; cancer/testis antigen 98; CT98; hKOC; IGF2 mRNA-binding protein 3; IGF2BP3; IGF-II mRNA-binding protein 3; IMP3; IMP-3; insulin like growth factor 2 mRNA binding protein 3; insulin-l; insulin-like growth factor 2 mRNA binding protein 3; insulin-like growth factor 2 mRNA-binding protein 3; insulin-like growth factor 2, binding protein 3; KH domain containing protein overexpressed in cancer; KH domain-containing protein overexpressed in cancer; KOC; KOC1; Koc13; mimp3; mIMP-3; Neilsen; RGD1306512; VICKZ family member 3; Vickz3 | |
Rabbit | |
Antigen affinity chromatography | |
RUO | |
10643 | |
Store at 4°C short term. For long term storage, store at -20°C, avoiding freeze/thaw cycles. | |
Liquid |
Immunohistochemistry (Paraffin), Western Blot, Immunocytochemistry | |
0.56 mg/mL | |
0.1M tris glycine with 20% glycerol and 0.01% thimerosal; pH 7 | |
O00425 | |
IGF2BP3 | |
Recombinant protein encompassing a sequence within the center region of human IMP3. The exact sequence is proprietary. | |
100 μL | |
Primary | |
Human | |
Antibody | |
IgG |
Product Content Correction
Your input is important to us. Please complete this form to provide feedback related to the content on this product.
Product Title
Spot an opportunity for improvement?Share a Content Correction