Learn More
Invitrogen™ Influenza A H5N1 HA (A/Hong Kong/483/97) Polyclonal Antibody

Description
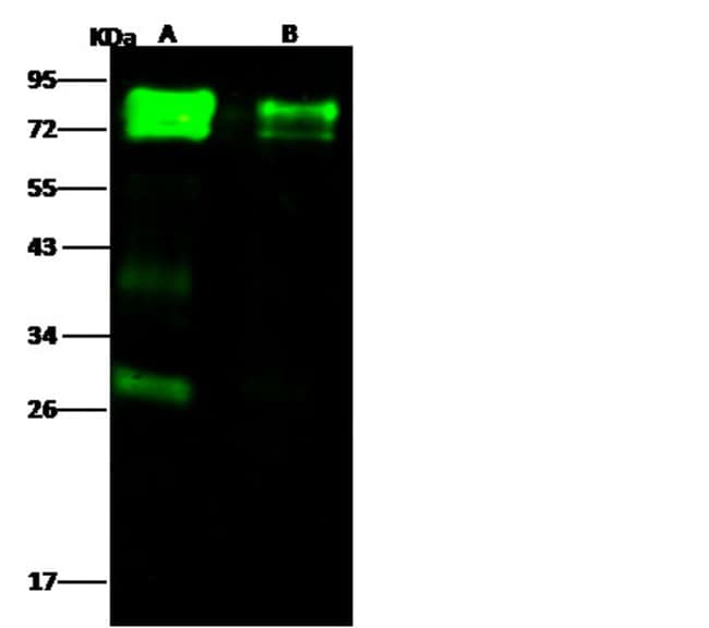
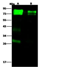
This product is preservative free. It is recommended to add sodium azide to avoid contamination (final concentration 0.05%-0.1%). This antibody has specificity for Influenza A H5N1 (A/Hong Kong/483/97) Hemagglutinin/HA.
Specifications
Specifications
| Antigen | Influenza A H5N1 HA (A/Hong Kong/483/97) |
| Applications | ELISA, Western Blot |
| Classification | Polyclonal |
| Concentration | 1.05 mg/mL |
| Conjugate | Unconjugated |
| Formulation | PBS with no preservative |
| Gene Alias | flu hemagglutinin; influenza hemagglutinin |
| Host Species | Rabbit |
| Immunogen | Recombinant Influenza A H5N1 (A/Hong Kong/483/97) Hemagglutinin/HA Protein. |
| Purification Method | Antigen affinity chromatography, Protein A |
| Show More |
Safety and Handling
By clicking Submit, you acknowledge that you may be contacted by Fisher Scientific in regards to the feedback you have provided in this form. We will not share your information for any other purposes. All contact information provided shall also be maintained in accordance with our Privacy Policy.