Promotional price valid on web orders only. Your contract pricing may differ. Interested in signing up for a dedicated account number?
Learn More
Learn More
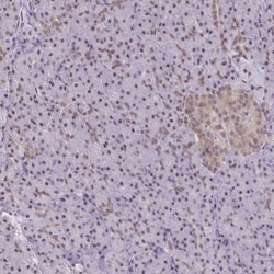
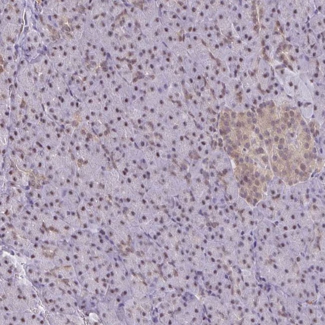
Invitrogen™ ING4 Polyclonal Antibody

Rabbit Polyclonal Antibody
Supplier: Invitrogen™ PA5111452
Description
Immunogen sequence: EKQIESSDYD SSSSKGKKKG RTQKEKKAAR ARSKGKNSDE EAPKTAQKKL KLVRTSPEYG MPSVTFGSVH.
The ING4 gene belongs to the ING (Inhibitor of Growth) family of tumor suppressors. All five members of the ING protein family identified to date contain a highly conserved plant homeodomain (PHD) finger motif at the C-terminal end, which is found in transcription factors that modulate chromatin structure. ING proteins have been shown to form transcriptional complexes leading to activation of responsive genes that mediate a wide range of cellular functions, including growth arrest, DNA repair, gene transcription, apoptosis, and senescence. The candidate tumor suppressor ING4 has a role in brain tumor pathogenesis, and is involved in regulating tumor growth and angiogenesis. Expression of ING4 is reduced in gliomas compared to normal brain tissue, and ING4 reduction correlates with progression from lower to higher grades of tumors. ING4 physically interacts with the p65 (RelA) subunit of NF-kB and represses transcription of NF-kB responsive genes. Inactivating mutations in ING4 transcripts have been described in various human cancer cell lines, and deletion of the ING4 locus has been detected in 10-20% of human breast cancer cell lines and tumors.
Specifications
| ING4 | |
| Polyclonal | |
| PBS with 40% glycerol and 0.02% sodium azide; pH 7.2 | |
| Q9UNL4 | |
| ING4 | |
| Recombinant Protein corresonding to Human ING4. | |
| 100 μL | |
| Primary | |
| Human | |
| Antibody | |
| IgG |
| Immunohistochemistry (Paraffin) | |
| Unconjugated | |
| ING4 | |
| brain my036 protein; candidate tumor suppressor p33 ING1 homolog; D6Wsu147e; D6Xrf92; ING1-like protein; Ing4; inhibitor of growth family member 4; inhibitor of growth family, member 4; inhibitor of growth protein 4; My036; p29ING4 | |
| Rabbit | |
| Antigen affinity chromatography | |
| RUO | |
| 51147 | |
| Store at 4°C short term. For long term storage, store at -20°C, avoiding freeze/thaw cycles. | |
| Liquid |
Safety and Handling
WARNING: Cancer - www.P65Warnings.ca.gov
Product Content Correction
Your input is important to us. Please complete this form to provide feedback related to the content on this product.
Product Title
Spot an opportunity for improvement?Share a Content Correction